×
For best experience we recommend to activate Javascript in your browser.
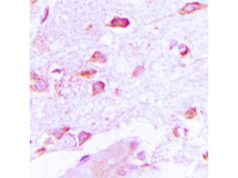
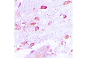
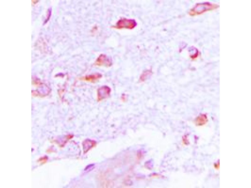
NSG2 antibody (Center)
The Rabbit Polyclonal anti-NSG2 antibody (ABIN7299642) specifically detects NSG2 in IHC and WB.
The antibody is reactive with Human, Cow and Monkey samples.
Catalog No. ABIN7299642
$330.77
Plus shipping costs $50.00
30 μL ABIN7299643
50 μL ABIN7682699
100 μL ABIN7299642
200 μL ABIN2706716
30 μL ABIN7299643
50 μL ABIN7682699
100 μL ABIN7299642
200 μL ABIN2706716
Delivery in 13 to 15 Business Days
Quick Overview for NSG2 antibody (Center) (ABIN7299642)
Target
See all NSG2 (HMP19) Antibodies
NSG2 (HMP19)
(Neuron-Specific Protein Family Member 2 (HMP19))
Reactivity
Human, Cow, Monkey
Host
All hosts for NSG2 antibodies
Rabbit
Clonality
All clonalities for NSG2 antibodies
Polyclonal
Conjugate
All conjugates for NSG2 antibodies
This NSG2 antibody is un-conjugated
Application
All applications for NSG2 antibodies
Immunohistochemistry (IHC), Western Blotting (WB)
Product Details anti-NSG2 Antibody
(hide)
Binding Specificity
All epitopes for NSG2 antibodies
Center
Purpose
Rabbit polyclonal antibody to NSG2
Specificity
Recognizes endogenous levels of NSG2 protein.
Characteristics
Rabbit polyclonal antibody to NSG2
Purification
The antibody was purified by immunogen affinity chromatography.
Immunogen
KLH-conjugated synthetic peptide encompassing a sequence within the center region of human NSG2. The exact sequence is proprietary.
Alternatives
(show)
Application Details
(hide)
Application Notes
WB (1/500 - 1/1000), IH (1/100 - 1/200)
Restrictions
For Research Use only
Handling
(hide)
Format
Liquid
Buffer
Liquid in 0.42 % Potassium phosphate, 0.87 % Sodium chloride, pH 7.3, 30 % glycerol, and 0.01 % sodium azide.
Preservative
Sodium azide
Precaution of Use
This product contains Sodium azide: a POISONOUS AND HAZARDOUS SUBSTANCE which should be handled by trained staff only.
Storage
-20 °C
Storage Comment
Shipped at 4°C. Upon delivery aliquot and store at -20°C for one year. Avoid freeze/thaw cycles.
Expiry Date
12 months
Target Details for NSG2
(hide)
Target
NSG2 (HMP19)
(Neuron-Specific Protein Family Member 2 (HMP19))
Alternative Name
NSG2
Background
Neuron-specific protein family member 2, Protein p19, Hmp19
Gene ID
51617
UniProt
Q9Y328
Recently viewed
(hide)
You are here:
Homepage
anti-NSG2 antibody (Center) (ABIN7299642)
Chat with us , powered by LiveChat