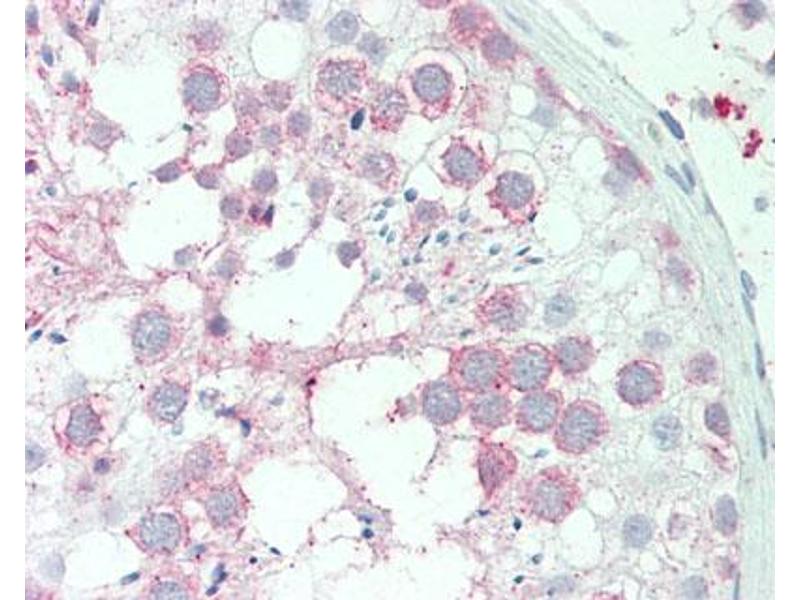
AIP antibody (Internal Region)
Quick Overview for AIP antibody (Internal Region) (ABIN2738362)
Target
See all AIP AntibodiesReactivity
Host
Clonality
Conjugate
Application
-
-
Binding Specificity
- Internal Region
-
Specificity
- Human ARA9 / AIP
-
Purification
- Immunoaffinity purified
-
Immunogen
-
Recombinant protein encompassing a sequence within the center region of human ARA9.
Type of Immunogen: Recombinant protein -
Isotype
- IgG
-
-
-
-
Application Notes
- Approved: ICC (1:100 - 1:1000), IHC, IHC-P (10 μg/mL), WB (1:1000 - 1:10000)
-
Comment
-
Target Species of Antibody: Human
-
Restrictions
- For Research Use only
-
-
-
Format
- Liquid
-
Concentration
- Lot specific
-
Buffer
- 0.1 M Tris-glycine, pH 7.0, 10 % glycerol, 0.01 % Thimerosal
-
Preservative
- Thimerosal (Merthiolate)
-
Precaution of Use
- This product contains Thimerosal (Merthiolate): a POISONOUS AND HAZARDOUS SUBSTANCE which should be handled by trained staff only.
-
Handling Advice
- Avoid multiple freeze-thaw cycles.
-
Storage
- -20 °C
-
Storage Comment
- Keep as concentrated solution. Aliquot and store at -20°C or below. Avoid multiple freeze-thaw cycles.
-
-
- AIP (Aryl Hydrocarbon Receptor Interacting Protein (AIP))
-
Alternative Name
- ARA9 / AIP
-
Background
-
Name/Gene ID: AIP
Synonyms: AIP, FKBP16, Immunophilin homolog ARA9, HBV X-associated protein 2, XAP2, ARA9, FKBP37, SMTPHN, XAP-2 -
Gene ID
- 9049
Target
-