Phone:
+1 877 302 8632
Fax:
+1 888 205 9894 (Toll-free)
E-Mail:
orders@antibodies-online.com

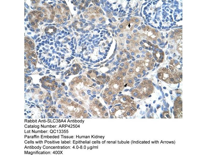
SLC38A4 antibody (Middle Region)

The Rabbit Polyclonal anti-SLC38A4 antibody is suitable to detect SLC38A4 in samples from Human, Mouse, Rat, Dog, Zebrafish (Danio rerio), Cow, Guinea Pig, Horse, Pig and Rabbit. It has been validated for WB and IHC.
Catalog No. ABIN2775452
$429.69
Plus shipping costs $50.00
Shipping to: United States
Delivery in 2 to 4 Business Days

Quick Overview for SLC38A4 antibody (Middle Region) (ABIN2775452)

Target

See all SLC38A4 Antibodies
SLC38A4 (Solute Carrier Family 38 Member 4 (SLC38A4))

Reactivity

Human, Mouse, Rat, Dog, Zebrafish (Danio rerio), Cow, Guinea Pig, Horse, Pig, Rabbit

Host

  • 7
Rabbit

Clonality

  • 7
Polyclonal

Conjugate

  • 7
This SLC38A4 antibody is un-conjugated

Application

  • 6
  • 4
  • 3
  • 2
Western Blotting (WB), Immunohistochemistry (IHC)
  • Binding Specificity

    • 1
    • 1
    • 1
    • 1
    Middle Region

    Sequence

    LAALFGYLTF YGEVEDELLH AYSKVYTLDI PLLMVRLAVL VAVTLTVPIV

    Predicted Reactivity

    Cow: 100%, Dog: 100%, Guinea Pig: 92%, Horse: 92%, Human: 100%, Mouse: 100%, Pig: 100%, Rabbit: 92%, Rat: 100%, Zebrafish: 90%

    Characteristics

    This is a rabbit polyclonal antibody against SLC38A4. It was validated on Western Blot and immunohistochemistry.

    Purification

    Protein A purified

    Immunogen

    The immunogen is a synthetic peptide directed towards the middle region of human SLC38A4
  • Application Notes

    Optimal working dilutions should be determined experimentally by the investigator.

    Comment

    Antigen size: 158 AA

    Restrictions

    For Research Use only
  • Format

    Liquid

    Concentration

    Lot specific

    Buffer

    Liquid. Purified antibody supplied in 1x PBS buffer with 0.09 % (w/v) sodium azide and 2 % sucrose.

    Preservative

    Sodium azide

    Precaution of Use

    This product contains Sodium azide: a POISONOUS AND HAZARDOUS SUBSTANCE which should be handled by trained staff only.

    Handling Advice

    Avoid repeated freeze-thaw cycles.

    Storage

    -20 °C

    Storage Comment

    For short term use, store at 2-8°C up to 1 week. For long term storage, store at -20°C in small aliquots to prevent freeze-thaw cycles.
  • Target

    SLC38A4 (Solute Carrier Family 38 Member 4 (SLC38A4))

    Alternative Name

    SLC38A4

    Background

    SLC38A4 is found predominantly in liver and transports both cationic and neutral amino acids. The transport of cationic amino acids by SLC38A4 is Na(+) and pH independent, while the transport of neutral amino acids is Na(+) and pH dependent.The modification of proteins with ubiquitin is an important cellular mechanism for targeting abnormal or short-lived proteins for degradation. Ubiquitination involves at least three classes of enzymes: ubiquitin-activating enzymes, or E1s, ubiquitin-conjugating enzymes, or E2s, and ubiquitin-protein ligases, or E3s. This gene encodes a member of the E2 ubiquitin-conjugating enzyme family. Four alternatively spliced transcript variants encoding the same protein have been found for this gene.
    Alias Symbols: ATA3, FLJ10191, MGC126876, NAT3, PAAT
    Protein Size: 158

    Molecular Weight

    17 kDa

    Gene ID

    55089

    NCBI Accession

    NM_003345, NP_060488

    UniProt

    Q969I6
You are here:
Chat with us!