Phone:
+1 877 302 8632
Fax:
+1 888 205 9894 (Toll-free)
E-Mail:
orders@antibodies-online.com

SCD antibody (Middle Region)

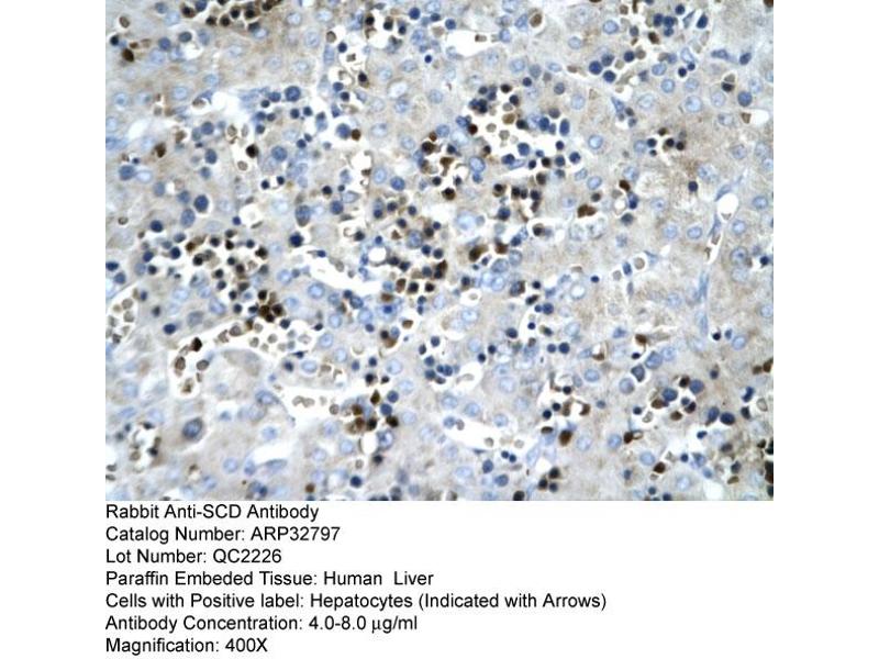
The Rabbit Polyclonal anti-SCD antibody (ABIN2777599) specifically detects SCD in WB and IHC. The antibody is reactive with Human, Mouse, Rat, Goat, Sheep, Cow, Dog and Guinea Pig samples.
Catalog No. ABIN2777599
$429.69
Plus shipping costs $50.00
Shipping to: United States
Delivery in 2 to 4 Business Days

Quick Overview for SCD antibody (Middle Region) (ABIN2777599)

Target

See all SCD Antibodies
SCD (Stearoyl-CoA Desaturase (Delta-9-Desaturase) (SCD))

Reactivity

Human, Mouse, Rat, Goat, Sheep, Cow, Dog, Guinea Pig

Host

  • 48
  • 3
  • 1
  • 1
Rabbit

Clonality

  • 38
  • 16
Polyclonal

Conjugate

  • 21
  • 3
  • 3
  • 2
  • 2
  • 2
  • 2
  • 2
  • 2
  • 2
  • 1
  • 1
  • 1
  • 1
  • 1
  • 1
  • 1
  • 1
  • 1
  • 1
  • 1
  • 1
  • 1
This SCD antibody is un-conjugated

Application

  • 41
  • 20
  • 16
  • 15
  • 14
  • 14
  • 13
  • 7
  • 6
  • 5
  • 5
  • 1
Western Blotting (WB), Immunohistochemistry (IHC)
  • Binding Specificity

    • 15
    • 5
    • 5
    • 1
    • 1
    • 1
    • 1
    • 1
    • 1
    • 1
    • 1
    Middle Region

    Sequence

    HPAVKEKGST LDLSDLEAEK LVMFQRRYYK PGLLMMCFIL PTLVPWYFWG

    Predicted Reactivity

    Cow: 92%, Dog: 85%, Goat: 85%, Guinea Pig: 85%, Human: 100%, Mouse: 77%, Rat: 77%, Sheep: 85%

    Characteristics

    This is a rabbit polyclonal antibody against SCD. It was validated on Western Blot and immunohistochemistry.

    Purification

    Protein A purified

    Immunogen

    The immunogen is a synthetic peptide directed towards the middle region of human SCD
  • Application Notes

    Optimal working dilutions should be determined experimentally by the investigator.

    Comment

    Antigen size: 359 AA

    Restrictions

    For Research Use only
  • Format

    Liquid

    Concentration

    Lot specific

    Buffer

    Liquid. Purified antibody supplied in 1x PBS buffer with 0.09 % (w/v) sodium azide and 2 % sucrose.

    Preservative

    Sodium azide

    Precaution of Use

    This product contains Sodium azide: a POISONOUS AND HAZARDOUS SUBSTANCE which should be handled by trained staff only.

    Handling Advice

    Avoid repeated freeze-thaw cycles.

    Storage

    -20 °C

    Storage Comment

    For short term use, store at 2-8°C up to 1 week. For long term storage, store at -20°C in small aliquots to prevent freeze-thaw cycles.
  • Target

    SCD (Stearoyl-CoA Desaturase (Delta-9-Desaturase) (SCD))

    Alternative Name

    SCD

    Background

    Stearoyl-CoA desaturase ( fatty acid desaturase, SCD) is expressed at high levels in several human tissues and is required for the biosynthesis of oleate (18:1) and palmitoleate (16:1). These monounsaturated fatty acids are the major components of phospholipids, triglycerides, wax esters, and cholesterol esters.
    Alias Symbols: SCD1, FADS5, SCDOS, MSTP008
    Protein Interaction Partner: UBC, APP, VCP, ELAVL1, NEDD4L, CYB5A,
    Protein Size: 359

    Molecular Weight

    41 kDa

    Gene ID

    6319

    NCBI Accession

    NM_005063, NP_005054

    UniProt

    O00767

    Pathways

    Brown Fat Cell Differentiation
You are here:
Chat with us!