Phone:
+1 877 302 8632
Fax:
+1 888 205 9894 (Toll-free)
E-Mail:
orders@antibodies-online.com

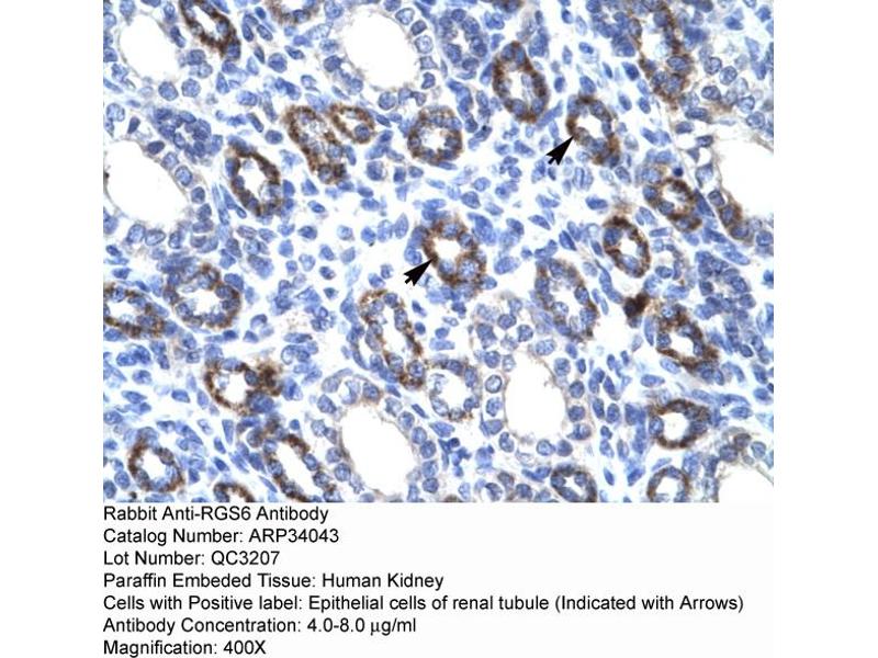
RGS6 antibody (C-Term)

The Rabbit Polyclonal anti-RGS6 antibody (ABIN2778235) specifically detects RGS6 in WB and IHC. The antibody is reactive with Human, Rat, Mouse, Dog, Cow, Guinea Pig, Horse, Zebrafish (Danio rerio) and Rabbit samples.
Catalog No. ABIN2778235
$483.54
Plus shipping costs $50.00
Shipping to: United States
Delivery in 2 to 4 Business Days

Quick Overview for RGS6 antibody (C-Term) (ABIN2778235)

Target

See all RGS6 Antibodies
RGS6 (Regulator of G-Protein Signaling 6 (RGS6))

Reactivity

  • 25
  • 11
  • 8
  • 3
  • 1
  • 1
  • 1
  • 1
  • 1
  • 1
Human, Rat, Mouse, Dog, Cow, Guinea Pig, Horse, Zebrafish (Danio rerio), Rabbit

Host

  • 24
  • 3
  • 1
Rabbit

Clonality

  • 22
  • 6
Polyclonal

Conjugate

  • 24
  • 2
  • 1
  • 1
This RGS6 antibody is un-conjugated

Application

  • 21
  • 12
  • 11
  • 4
  • 4
  • 2
  • 2
  • 2
  • 1
Western Blotting (WB), Immunohistochemistry (IHC)
  • Binding Specificity

    • 6
    • 3
    • 3
    • 2
    • 1
    • 1
    • 1
    • 1
    C-Term

    Sequence

    SAINLDSHSY EITSQNVKDG GRYTFEDAQE HIYKLMKSDS YARFLRSNAY

    Predicted Reactivity

    Cow: 100%, Dog: 100%, Guinea Pig: 100%, Horse: 100%, Human: 100%, Mouse: 100%, Rabbit: 93%, Rat: 100%, Zebrafish: 86%

    Characteristics

    This is a rabbit polyclonal antibody against RGS6. It was validated on Western Blot and immunohistochemistry.

    Purification

    Affinity Purified

    Immunogen

    The immunogen is a synthetic peptide directed towards the C terminal region of human RGS6
  • Application Notes

    Optimal working dilutions should be determined experimentally by the investigator.

    Comment

    Antigen size: 472 AA

    Restrictions

    For Research Use only
  • Format

    Liquid

    Concentration

    Lot specific

    Buffer

    Liquid. Purified antibody supplied in 1x PBS buffer with 0.09 % (w/v) sodium azide and 2 % sucrose.

    Preservative

    Sodium azide

    Precaution of Use

    This product contains Sodium azide: a POISONOUS AND HAZARDOUS SUBSTANCE which should be handled by trained staff only.

    Handling Advice

    Avoid repeated freeze-thaw cycles.

    Storage

    -20 °C

    Storage Comment

    For short term use, store at 2-8°C up to 1 week. For long term storage, store at -20°C in small aliquots to prevent freeze-thaw cycles.
  • Target

    RGS6 (Regulator of G-Protein Signaling 6 (RGS6))

    Alternative Name

    RGS6

    Background

    Members of the RGS (regulator of G protein signaling) family have been shown to modulate the functioning of G proteins by activating the intrinsic GTPase activity of the alpha (guanine nucleotide-binding) subunits.
    Alias Symbols: GAP
    Protein Interaction Partner: HSP90AA1, GNB4, GNB5, GNB3, GNB2, GNB1, STMN2, DMAP1, DNMT1,
    Protein Size: 472

    Molecular Weight

    54 kDa

    Gene ID

    9628

    NCBI Accession

    NM_004296, NP_004287

    Pathways

    Myometrial Relaxation and Contraction, Regulation of G-Protein Coupled Receptor Protein Signaling
You are here:
Chat with us!