Phone:
+1 877 302 8632
Fax:
+1 888 205 9894 (Toll-free)
E-Mail:
orders@antibodies-online.com

MED17 antibody (N-Term)

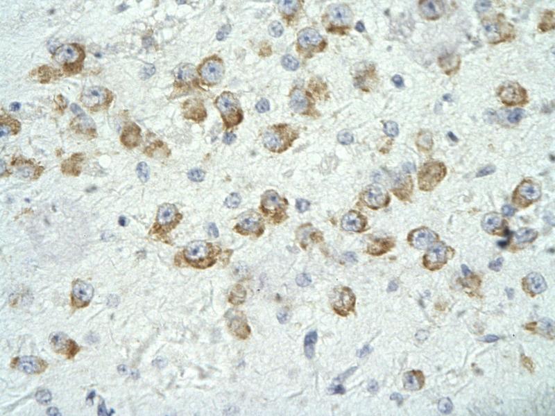
This Rabbit Polyclonal antibody specifically detects MED17 in WB, IHC and ChIP. It exhibits reactivity toward Human, Mouse, Rat, Dog, Cow, Guinea Pig, Horse and Rabbit.
Catalog No. ABIN2778320
$483.54
Plus shipping costs $50.00
Shipping to: United States
Delivery in 2 to 4 Business Days

Quick Overview for MED17 antibody (N-Term) (ABIN2778320)

Target

See all MED17 Antibodies
MED17 (Mediator Complex Subunit 17 (MED17))

Reactivity

  • 51
  • 26
  • 5
  • 2
  • 1
  • 1
  • 1
  • 1
  • 1
  • 1
  • 1
  • 1
Human, Mouse, Rat, Dog, Cow, Guinea Pig, Horse, Rabbit

Host

  • 47
  • 5
Rabbit

Clonality

  • 48
  • 4
Polyclonal

Conjugate

  • 28
  • 4
  • 3
  • 3
  • 2
  • 1
  • 1
  • 1
  • 1
  • 1
  • 1
  • 1
  • 1
  • 1
  • 1
  • 1
  • 1
This MED17 antibody is un-conjugated

Application

  • 46
  • 27
  • 15
  • 9
  • 6
  • 5
  • 2
  • 1
  • 1
Western Blotting (WB), Immunohistochemistry (IHC), Chromatin Immunoprecipitation (ChIP)
  • Binding Specificity

    • 16
    • 7
    • 6
    • 3
    • 2
    • 2
    • 2
    • 1
    • 1
    • 1
    • 1
    • 1
    • 1
    • 1
    • 1
    • 1
    • 1
    • 1
    N-Term

    Sequence

    AAQILLKGAE RLTKSVTENQ ENKLQRDFNS ELLRLRQHWK LRKVGDKILG

    Predicted Reactivity

    Cow: 100%, Dog: 100%, Guinea Pig: 100%, Horse: 100%, Human: 100%, Mouse: 92%, Rabbit: 100%, Rat: 100%

    Characteristics

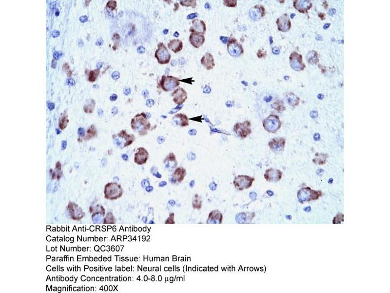
    This is a rabbit polyclonal antibody against CRSP6. It was validated on Western Blot and immunohistochemistry.

    Purification

    Affinity Purified

    Immunogen

    The immunogen is a synthetic peptide directed towards the N terminal region of human CRSP6
  • Application Notes

    Optimal working dilutions should be determined experimentally by the investigator.

    Comment

    Antigen size: 651 AA

    Restrictions

    For Research Use only
  • Format

    Liquid

    Concentration

    Lot specific

    Buffer

    Liquid. Purified antibody supplied in 1x PBS buffer with 0.09 % (w/v) sodium azide and 2 % sucrose.

    Preservative

    Sodium azide

    Precaution of Use

    This product contains Sodium azide: a POISONOUS AND HAZARDOUS SUBSTANCE which should be handled by trained staff only.

    Handling Advice

    Avoid repeated freeze-thaw cycles.

    Storage

    -20 °C

    Storage Comment

    For short term use, store at 2-8°C up to 1 week. For long term storage, store at -20°C in small aliquots to prevent freeze-thaw cycles.
  • Target

    MED17 (Mediator Complex Subunit 17 (MED17))

    Alternative Name

    CRSP6

    Background

    The activation of gene transcription is a multistep process that is triggered by factors that recognize transcriptional enhancer sites in DNA. These factors work with co-activators to direct transcriptional initiation by the RNA polymerase II apparatus. The protein encoded by CRSP6 is a subunit of the CRSP (cofactor required for SP1 activation) complex, which, along with TFIID, is required for efficient activation by SP1. This protein is also a component of other multisubunit complexes e.g. thyroid hormone receptor-(TR-) associated proteins which interact with TR and facilitate TR function on DNA templates in conjunction with initiation factors and cofactors.
    Alias Symbols: CRSP6, CRSP77, DRIP80, TRAP80
    Protein Interaction Partner: UBC, BRCA1, CDK19, CDK8, MED26, POLR2C, ESR2, MED19, FBXW7, EPAS1, TFIP11, MED24, MED21, MED14, MED11, MED28, WDR33, CPSF2, UBD, BCL6, SMARCA4, SUZ12, MED10, CTDP1, SREBF1, MED25, MED15, TRA, MED1, OBFC1, MED18, ZC3H13, MED12, QKI, TRIP4, TADA2A, SUPT7L,
    Protein Size: 651

    Molecular Weight

    73 kDa

    Gene ID

    9440

    NCBI Accession

    NM_004268, NP_004259

    UniProt

    Q9NVC6

    Pathways

    Intracellular Steroid Hormone Receptor Signaling Pathway, Stem Cell Maintenance, Regulation of Lipid Metabolism by PPARalpha
You are here:
Chat with us!