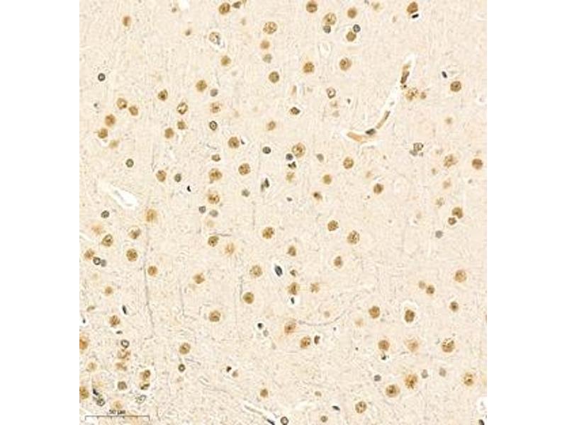
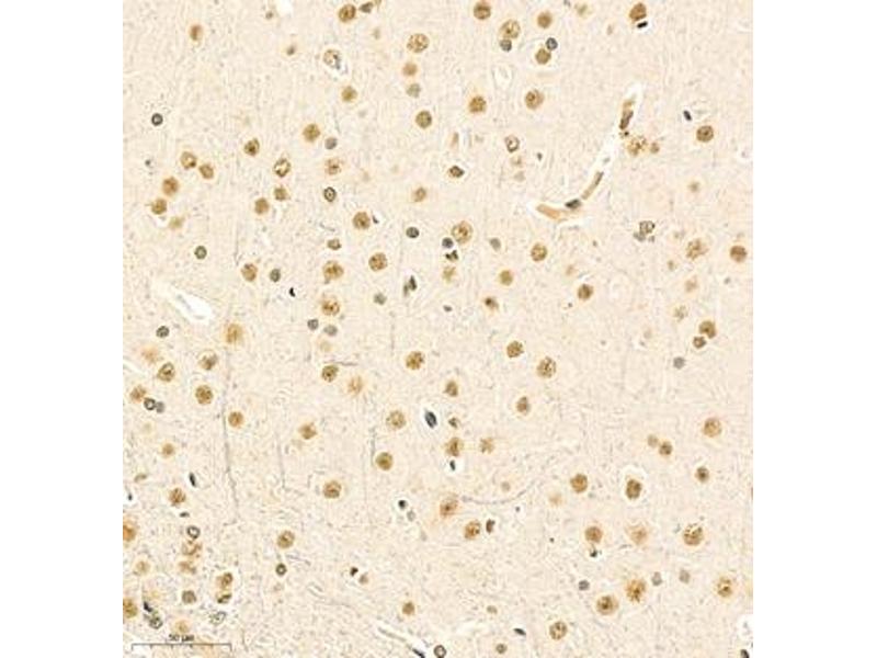
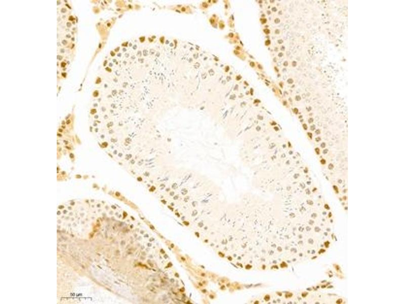
MED17 antibody
Quick Overview for MED17 antibody (ABIN7074579)
Target
See all MED17 AntibodiesReactivity
Host
Clonality
Conjugate
Application
-
-
Cross-Reactivity
- Rat
-
Purification
- Affinity purification
-
Immunogen
- Recombinant protein corresponding to Mouse TRAP80
-
-
-
-
Application Notes
- IHC/IF (M,R) 1:500-1:1500/1:600-1:1500
-
Restrictions
- For Research Use only
-
-
-
Format
- Liquid
-
Buffer
- PBS, pH 7.4, 0.02 % sodium azide
-
Preservative
- Sodium azide
-
Precaution of Use
- This product contains Sodium azide: a POISONOUS AND HAZARDOUS SUBSTANCE which should be handled by trained staff only.
-
Storage
- -20 °C
-
-
- MED17 (Mediator Complex Subunit 17 (MED17))
-
Alternative Name
- TRAP80
-
Background
- The activation of gene transcription is a multistep process that is triggered by factors that recognize transcriptional enhancer sites in DNA. These factors work with co-activators to direct transcriptional initiation by the RNA polymerase II apparatus. The protein encoded by CRSP6 is a subunit of the CRSP (cofactor required for SP1 activation) complex, which, along with TFIID, is required for efficient activation by SP1. This protein is also a component of other multisubunit complexes e.
-
Gene ID
- 234959
-
NCBI Accession
- NP_659182
-
UniProt
- Q8VCD5
-
Pathways
- Intracellular Steroid Hormone Receptor Signaling Pathway, Stem Cell Maintenance, Regulation of Lipid Metabolism by PPARalpha
Target
-