Phone:
+1 877 302 8632
Fax:
+1 888 205 9894 (Toll-free)
E-Mail:
orders@antibodies-online.com

ZBTB9 antibody (N-Term)

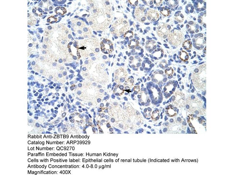
The Rabbit Polyclonal anti-ZBTB9 antibody (ABIN2778524) specifically detects ZBTB9 in WB and IHC. The antibody is reactive with Human, Mouse, Cow, Guinea Pig, Rat, Horse, Pig and Rabbit samples.
Catalog No. ABIN2778524
$483.54
Plus shipping costs $50.00
Shipping to: United States
Delivery in 2 to 4 Business Days

Quick Overview for ZBTB9 antibody (N-Term) (ABIN2778524)

Target

See all ZBTB9 Antibodies
ZBTB9 (Zinc Finger and BTB Domain Containing 9 (ZBTB9))

Reactivity

  • 16
  • 9
  • 5
  • 5
  • 5
  • 4
  • 4
  • 4
  • 2
  • 2
  • 2
Human, Mouse, Cow, Guinea Pig, Rat, Horse, Pig, Rabbit

Host

  • 15
  • 1
Rabbit

Clonality

  • 16
Polyclonal

Conjugate

  • 16
This ZBTB9 antibody is un-conjugated

Application

  • 14
  • 5
  • 4
  • 3
  • 2
  • 1
  • 1
Western Blotting (WB), Immunohistochemistry (IHC)
  • Binding Specificity

    • 6
    • 2
    • 2
    • 1
    • 1
    • 1
    N-Term

    Sequence

    METPTPLPPV PASPTCNPAP RTIQIEFPQH SSSLLESLNR HRLEGKFCDV

    Predicted Reactivity

    Cow: 100%, Guinea Pig: 79%, Horse: 100%, Human: 100%, Mouse: 79%, Pig: 100%, Rabbit: 100%, Rat: 79%

    Characteristics

    This is a rabbit polyclonal antibody against ZBTB9. It was validated on Western Blot and immunohistochemistry.

    Purification

    Affinity Purified

    Immunogen

    The immunogen is a synthetic peptide directed towards the N terminal region of human ZBTB9
  • Application Notes

    Optimal working dilutions should be determined experimentally by the investigator.

    Comment

    Antigen size: 473 AA

    Restrictions

    For Research Use only
  • Format

    Liquid

    Concentration

    Lot specific

    Buffer

    Liquid. Purified antibody supplied in 1x PBS buffer with 0.09 % (w/v) sodium azide and 2 % sucrose.

    Preservative

    Sodium azide

    Precaution of Use

    This product contains Sodium azide: a POISONOUS AND HAZARDOUS SUBSTANCE which should be handled by trained staff only.

    Handling Advice

    Avoid repeated freeze-thaw cycles.

    Storage

    -20 °C

    Storage Comment

    For short term use, store at 2-8°C up to 1 week. For long term storage, store at -20°C in small aliquots to prevent freeze-thaw cycles.
  • Target

    ZBTB9 (Zinc Finger and BTB Domain Containing 9 (ZBTB9))

    Alternative Name

    ZBTB9

    Background

    ZBTB9 contains 1 BTB (POZ) domain and 2 C2H2-type zinc fingers. It may be involved in transcriptional regulation.
    Alias Symbols: ZNF919
    Protein Interaction Partner: MDFI, MCM6, LASP1, EHHADH, DTNB, KRTAP10-3, KRTAP10-9, KRTAP10-7, KRTAP12-2, TSR2, CAPN7, MORF4L1, EIF4E2, DYRK2, PIN4, PIN1, HECW2, SUMO2, UBC, PPARGC1B, CHURC1, ZNF408, ZFP64, ZNF407, ZZZ3, ZKSCAN5, ZNF23, ZFY, PPARG, NFKB1, MYBL2, GTF2E1, NR3C1, PARP1,
    Protein Size: 473

    Molecular Weight

    51 kDa

    Gene ID

    221504

    NCBI Accession

    NM_152735, NP_689948

    UniProt

    Q96C00
You are here:
Chat with us!