Phone:
+1 877 302 8632
Fax:
+1 888 205 9894 (Toll-free)
E-Mail:
orders@antibodies-online.com

PRMT1 antibody (Middle Region)

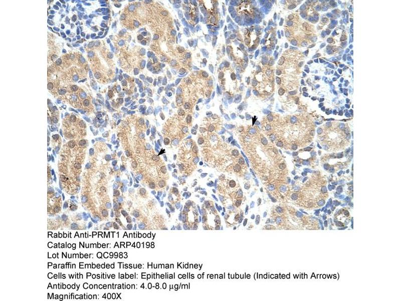
This Rabbit Polyclonal antibody specifically detects PRMT1 in WB and IHC. It exhibits reactivity toward Human, Mouse, Rat, Dog, Rabbit, Cow, Horse, Zebrafish (Danio rerio) and Guinea Pig.
Catalog No. ABIN2778664
$429.69
Plus shipping costs $50.00
Shipping to: United States
Delivery in 2 to 4 Business Days

Quick Overview for PRMT1 antibody (Middle Region) (ABIN2778664)

Target

See all PRMT1 Antibodies
PRMT1 (Protein Arginine Methyltransferase 1 (PRMT1))

Reactivity

  • 84
  • 53
  • 39
  • 7
  • 5
  • 4
  • 4
  • 3
  • 2
  • 2
  • 2
  • 2
  • 2
  • 1
  • 1
Human, Mouse, Rat, Dog, Rabbit, Cow, Horse, Zebrafish (Danio rerio), Guinea Pig

Host

  • 77
  • 7
Rabbit

Clonality

  • 48
  • 36
Polyclonal

Conjugate

  • 41
  • 7
  • 4
  • 4
  • 4
  • 4
  • 4
  • 4
  • 3
  • 3
  • 2
  • 2
  • 1
  • 1
This PRMT1 antibody is un-conjugated

Application

  • 64
  • 49
  • 28
  • 23
  • 15
  • 10
  • 8
  • 5
  • 3
  • 1
  • 1
  • 1
Western Blotting (WB), Immunohistochemistry (IHC)
  • Binding Specificity

    • 10
    • 6
    • 5
    • 3
    • 3
    • 2
    • 2
    • 1
    • 1
    • 1
    • 1
    • 1
    • 1
    • 1
    Middle Region

    Sequence

    ESMLNTVLYA RDKWLAPDGL IFPDRATLYV TAIEDRQYKD YKIHWWENVY

    Predicted Reactivity

    Cow: 100%, Dog: 100%, Guinea Pig: 100%, Horse: 100%, Human: 100%, Mouse: 100%, Rabbit: 100%, Rat: 100%, Zebrafish: 100%

    Characteristics

    This is a rabbit polyclonal antibody against PRMT1. It was validated on Western Blot and immunohistochemistry.

    Purification

    Protein A purified

    Immunogen

    The immunogen is a synthetic peptide directed towards the middle region of human PRMT1
  • Application Notes

    Optimal working dilutions should be determined experimentally by the investigator.

    Comment

    Antigen size: 361 AA

    Restrictions

    For Research Use only
  • Format

    Liquid

    Concentration

    Lot specific

    Buffer

    Liquid. Purified antibody supplied in 1x PBS buffer with 0.09 % (w/v) sodium azide and 2 % sucrose.

    Preservative

    Sodium azide

    Precaution of Use

    This product contains Sodium azide: a POISONOUS AND HAZARDOUS SUBSTANCE which should be handled by trained staff only.

    Handling Advice

    Avoid repeated freeze-thaw cycles.

    Storage

    -20 °C

    Storage Comment

    For short term use, store at 2-8°C up to 1 week. For long term storage, store at -20°C in small aliquots to prevent freeze-thaw cycles.
  • Target

    PRMT1 (Protein Arginine Methyltransferase 1 (PRMT1))

    Alternative Name

    PRMT1

    Background

    PRMT1 is a protein arginine methyltransferase that functions as a histone methyltransferase specific for H4.The HRMT1L2 gene encodes a protein arginine methyltransferase that functions as a histone methyltransferase specific for H4 (see MIM 602822).[supplied by OMIM].
    Alias Symbols: ANM1, HCP1, IR1B4, HRMT1L2
    Protein Interaction Partner: PRMT1, FUS, PRMT8, WDYHV1, SPEG, HNRNPR, HUWE1, SUMO2, UBC, DGCR8, Fbxl16, SUZ12, VHL, OFCC1, FAM9A, SAMD3, C20orf196, SPSB2, C4orf17, FAM83D, SPSB1, C17orf53, COPS7B, MLST8, GRHL3, GPATCH2L, DCAF16, DCAF8, SPAG8, ZNF451, WDFY3, VPS72, TBX6, PPARA, NCL, M
    Protein Size: 361

    Molecular Weight

    40 kDa

    Gene ID

    3276

    NCBI Accession

    NM_001536, NP_001527

    UniProt

    Q99873
You are here:
Chat with us!