Phone:
+1 877 302 8632
Fax:
+1 888 205 9894 (Toll-free)
E-Mail:
orders@antibodies-online.com

ZNF318 antibody (N-Term)

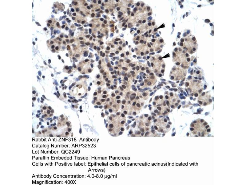
The Rabbit Polyclonal anti-ZNF318 antibody (ABIN2779696) specifically detects ZNF318 in WB and IHC. The antibody is reactive with Human, Mouse, Rat, Dog, Cow, Guinea Pig, Horse and Rabbit samples.
Catalog No. ABIN2779696
$483.54
Plus shipping costs $50.00
Shipping to: United States
Delivery in 2 to 4 Business Days

Quick Overview for ZNF318 antibody (N-Term) (ABIN2779696)

Target

See all ZNF318 (Znf318) Antibodies
ZNF318 (Znf318) (Zinc Finger Protein 318 (Znf318))

Reactivity

  • 22
  • 17
  • 16
  • 2
  • 1
  • 1
  • 1
  • 1
  • 1
  • 1
  • 1
  • 1
Human, Mouse, Rat, Dog, Cow, Guinea Pig, Horse, Rabbit

Host

  • 22
Rabbit

Clonality

  • 22
Polyclonal

Conjugate

  • 8
  • 1
  • 1
  • 1
  • 1
  • 1
  • 1
  • 1
  • 1
  • 1
  • 1
  • 1
  • 1
  • 1
  • 1
This ZNF318 antibody is un-conjugated

Application

  • 20
  • 14
  • 13
  • 5
  • 4
  • 4
  • 3
  • 3
  • 1
  • 1
  • 1
  • 1
Western Blotting (WB), Immunohistochemistry (IHC)
  • Binding Specificity

    • 15
    • 3
    • 1
    • 1
    • 1
    • 1
    N-Term

    Sequence

    SVFTRSSQCS RGLERYISQE EGPLSPFLGQ LDEDYRTKET FLHRSDYSPH

    Predicted Reactivity

    Cow: 100%, Dog: 100%, Guinea Pig: 100%, Horse: 100%, Human: 100%, Mouse: 100%, Rabbit: 85%, Rat: 100%

    Characteristics

    This is a rabbit polyclonal antibody against ZNF318. It was validated on Western Blot and immunohistochemistry.

    Purification

    Affinity Purified

    Immunogen

    The immunogen is a synthetic peptide directed towards the N terminal region of human ZNF318
  • Application Notes

    Optimal working dilutions should be determined experimentally by the investigator.

    Comment

    Antigen size: 2099 AA

    Restrictions

    For Research Use only
  • Format

    Liquid

    Concentration

    Lot specific

    Buffer

    Liquid. Purified antibody supplied in 1x PBS buffer with 0.09 % (w/v) sodium azide and 2 % sucrose.

    Preservative

    Sodium azide

    Precaution of Use

    This product contains Sodium azide: a POISONOUS AND HAZARDOUS SUBSTANCE which should be handled by trained staff only.

    Handling Advice

    Avoid repeated freeze-thaw cycles.

    Storage

    -20 °C

    Storage Comment

    For short term use, store at 2-8°C up to 1 week. For long term storage, store at -20°C in small aliquots to prevent freeze-thaw cycles.
  • Target

    ZNF318 (Znf318) (Zinc Finger Protein 318 (Znf318))

    Alternative Name

    ZNF318

    Background

    ZNF318 encodes a nuclear protein with a zinc finger motif of the Cys2-His2 type that is a novel corepressor of androgen receptor (AR).
    Alias Symbols: TZF, ZFP318, HRIHFB2436
    Protein Interaction Partner: MDM2, MMS19, PPP1CC, ISG15, SIRT7, SUMO2, UBC, HDAC2, AR,
    Protein Size: 2099

    Molecular Weight

    232 kDa

    Gene ID

    24149

    NCBI Accession

    NM_014345, NP_055160

    UniProt

    Q5VUA4

    Pathways

    SARS-CoV-2 Protein Interactome
You are here:
Chat with us!