Phone:
+1 877 302 8632
Fax:
+1 888 205 9894 (Toll-free)
E-Mail:
orders@antibodies-online.com

FOXG1 antibody (N-Term)

There is 1 publication for this product available. The Rabbit Polyclonal anti-FOXG1 antibody is suitable to detect FOXG1 in samples from Human, Mouse, Rat and Zebrafish (Danio rerio). It has been validated for WB and IHC.
Catalog No. ABIN2780667
$429.69
Plus shipping costs $50.00
Shipping to: United States
Delivery in 2 to 4 Business Days

Quick Overview for FOXG1 antibody (N-Term) (ABIN2780667)

Target

See all FOXG1 Antibodies
FOXG1 (Forkhead Box G1 (FOXG1))

Reactivity

  • 50
  • 39
  • 32
  • 2
  • 2
  • 2
  • 2
  • 1
  • 1
  • 1
  • 1
Human, Mouse, Rat, Zebrafish (Danio rerio)

Host

  • 49
  • 3
  • 1
Rabbit

Clonality

  • 51
  • 2
Polyclonal

Conjugate

  • 23
  • 4
  • 4
  • 3
  • 1
  • 1
  • 1
  • 1
  • 1
  • 1
  • 1
  • 1
  • 1
  • 1
  • 1
  • 1
  • 1
  • 1
  • 1
  • 1
  • 1
  • 1
  • 1
This FOXG1 antibody is un-conjugated

Application

  • 39
  • 23
  • 11
  • 6
  • 5
  • 2
  • 1
  • 1
  • 1
Western Blotting (WB), Immunohistochemistry (IHC)
  • Binding Specificity

    • 8
    • 5
    • 5
    • 3
    • 3
    • 2
    • 2
    • 1
    • 1
    • 1
    • 1
    • 1
    • 1
    N-Term

    Sequence

    MLDMGDRKEV KMIPKSSFSI NSLVPEAVQN DNHHASHGHH NSHHPQHHHH

    Predicted Reactivity

    Human: 100%, Mouse: 100%, Rat: 100%, Zebrafish: 93%

    Characteristics

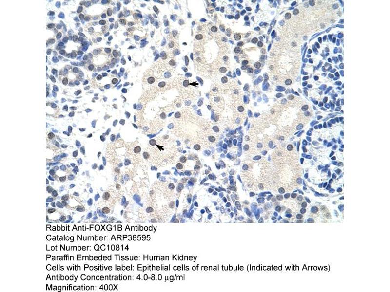
    This is a rabbit polyclonal antibody against FOXG1B. It was validated on Western Blot and immunohistochemistry.

    Purification

    Protein A purified

    Immunogen

    The immunogen is a synthetic peptide directed towards the N terminal region of human FOXG1B
  • Application Notes

    Optimal working dilutions should be determined experimentally by the investigator.

    Comment

    Antigen size: 489 AA

    Restrictions

    For Research Use only
  • Format

    Liquid

    Concentration

    Lot specific

    Buffer

    Liquid. Purified antibody supplied in 1x PBS buffer with 0.09 % (w/v) sodium azide and 2 % sucrose.

    Preservative

    Sodium azide

    Precaution of Use

    This product contains Sodium azide: a POISONOUS AND HAZARDOUS SUBSTANCE which should be handled by trained staff only.

    Handling Advice

    Avoid repeated freeze-thaw cycles.

    Storage

    -20 °C

    Storage Comment

    For short term use, store at 2-8°C up to 1 week. For long term storage, store at -20°C in small aliquots to prevent freeze-thaw cycles.
  • Tan, Shaw, Madsen, Jensen, Taylor-Papadimitriou, Freemont: "Human PLU-1 Has transcriptional repression properties and interacts with the developmental transcription factors BF-1 and PAX9." in: The Journal of biological chemistry, Vol. 278, Issue 23, pp. 20507-13, (2003) (PubMed).

  • Target

    FOXG1 (Forkhead Box G1 (FOXG1))

    Alternative Name

    FOXG1B

    Background

    FOXG1B belongs to the forkhead family of transcription factors which is characterized by a distinct forkhead domain. The specific function of FOXG1B has not yet been determined, however, it may play a role in the development of the brain and telencephalonThis gene belongs to the forkhead family of transcription factors which is characterized by a distinct forkhead domain. The specific function of this gene has not yet been determined, however, it may play a role in the development of the brain and telencephalon.This gene belongs to the forkhead family of transcription factors which is characterized by a distinct forkhead domain. The specific function of this gene has not yet been determined, however, it may play a role in the development of the brain and telencephalon.
    Alias Symbols: BF1, BF2, QIN, FKH2, HBF2, HFK1, HFK2, HFK3, KHL2, FHKL3, FKHL1, FKHL2, FKHL3, FKHL4, HBF-1, HBF-2, HBF-3, FOXG1A, FOXG1B, FOXG1C, HBF-G2
    Protein Interaction Partner: APOE, TLE1, TRAF6, KDM5B, FOXH1, EEF1G, SMAD3, FOXO3, GDF9, SMAD1, SMAD2, HDAC1, SMAD4, TLE3, FOXO4, HES1, FOXO1,
    Protein Size: 489

    Molecular Weight

    52 kDa

    Gene ID

    2290

    NCBI Accession

    NM_005249, NP_005240

    UniProt

    Q86XT7
You are here:
Chat with us!