ARMCX6 antibody (N-Term)
Quick Overview for ARMCX6 antibody (N-Term) (ABIN2781933)
Target
Reactivity
Host
Clonality
Conjugate
Application
-
-
Binding Specificity
- N-Term
-
Sequence
- TMARPWTEDG DWTEPGAPGG TEDRPSGGGK ANRAHPIKQR PFPYEHKNTW
-
Predicted Reactivity
- Dog: 79%, Guinea Pig: 93%, Horse: 86%, Human: 100%, Mouse: 100%, Rat: 93%
-
Characteristics
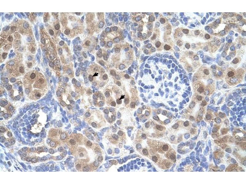
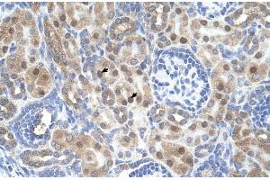
- This is a rabbit polyclonal antibody against ARMCX6. It was validated on Western Blot and immunohistochemistry.
-
Purification
- Protein A purified
-
Immunogen
- The immunogen is a synthetic peptide directed towards the N terminal region of human ARMCX6
-
-
-
-
Application Notes
- Optimal working dilutions should be determined experimentally by the investigator.
-
Comment
-
Antigen size: 300 AA
-
Restrictions
- For Research Use only
-
-
-
Format
- Liquid
-
Concentration
- Lot specific
-
Buffer
- Liquid. Purified antibody supplied in 1x PBS buffer with 0.09 % (w/v) sodium azide and 2 % sucrose.
-
Preservative
- Sodium azide
-
Precaution of Use
- This product contains Sodium azide: a POISONOUS AND HAZARDOUS SUBSTANCE which should be handled by trained staff only.
-
Handling Advice
- Avoid repeated freeze-thaw cycles.
-
Storage
- -20 °C
-
Storage Comment
- For short term use, store at 2-8°C up to 1 week. For long term storage, store at -20°C in small aliquots to prevent freeze-thaw cycles.
-
-
-