Phone:
+1 877 302 8632
Fax:
+1 888 205 9894 (Toll-free)
E-Mail:
orders@antibodies-online.com

MOSPD3 antibody (C-Term)

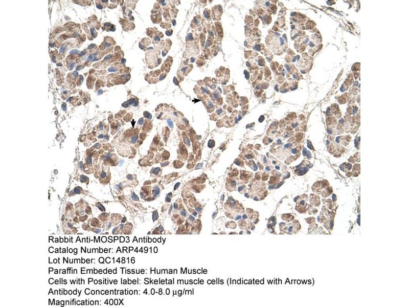
The Rabbit Polyclonal anti-MOSPD3 antibody is suitable to detect MOSPD3 in samples from Human, Mouse, Rat, Goat, Cow, Dog, Guinea Pig, Horse and Rabbit. It has been validated for WB and IHC.
Catalog No. ABIN2782063
$429.69
Plus shipping costs $50.00
Shipping to: United States
Delivery in 2 to 4 Business Days

Quick Overview for MOSPD3 antibody (C-Term) (ABIN2782063)

Target

See all MOSPD3 Antibodies
MOSPD3 (Motile Sperm Domain Containing 3 (MOSPD3))

Reactivity

Human, Mouse, Rat, Goat, Cow, Dog, Guinea Pig, Horse, Rabbit

Host

  • 13
  • 3
Rabbit

Clonality

  • 14
  • 2
Polyclonal

Conjugate

  • 11
  • 1
  • 1
  • 1
  • 1
  • 1
This MOSPD3 antibody is un-conjugated

Application

  • 13
  • 11
  • 2
  • 1
Western Blotting (WB), Immunohistochemistry (IHC)
  • Binding Specificity

    • 7
    • 2
    • 1
    • 1
    • 1
    • 1
    • 1
    C-Term

    Sequence

    FLLFLLTGIV SVAFLLLPLP DELGSQLPQV LHVSLGQKLV AAYVLGLLTM

    Predicted Reactivity

    Cow: 92%, Dog: 92%, Goat: 77%, Guinea Pig: 92%, Horse: 92%, Human: 100%, Mouse: 100%, Rabbit: 92%, Rat: 100%

    Characteristics

    This is a rabbit polyclonal antibody against MOSPD3. It was validated on Western Blot and immunohistochemistry.

    Purification

    Protein A purified

    Immunogen

    The immunogen is a synthetic peptide directed towards the C terminal region of human MOSPD3
  • Application Notes

    Optimal working dilutions should be determined experimentally by the investigator.

    Comment

    Antigen size: 225 AA

    Restrictions

    For Research Use only
  • Format

    Liquid

    Concentration

    Lot specific

    Buffer

    Liquid. Purified antibody supplied in 1x PBS buffer with 0.09 % (w/v) sodium azide and 2 % sucrose.

    Preservative

    Sodium azide

    Precaution of Use

    This product contains Sodium azide: a POISONOUS AND HAZARDOUS SUBSTANCE which should be handled by trained staff only.

    Handling Advice

    Avoid repeated freeze-thaw cycles.

    Storage

    -20 °C

    Storage Comment

    For short term use, store at 2-8°C up to 1 week. For long term storage, store at -20°C in small aliquots to prevent freeze-thaw cycles.
  • Target

    MOSPD3 (Motile Sperm Domain Containing 3 (MOSPD3))

    Alternative Name

    MOSPD3

    Background

    MOSPD3 is a multi-pass membrane protein with a major sperm protein (MSP) domain. The deletion of a similar mouse gene is associated with defective cardiac development and neonatal lethality.This gene encodes a multi-pass membrane protein with a major sperm protein (MSP) domain. The deletion of a similar mouse gene is associated with defective cardiac development and neonatal lethality. Alternate transcriptional splice variants, encoding different isoforms, have been described.
    Alias Symbols: CDS3, NET30
    Protein Size: 225

    Molecular Weight

    24 kDa

    Gene ID

    64598

    NCBI Accession

    NM_001040099, NP_001035188

    UniProt

    O75425
You are here:
Chat with us!