PIGV antibody (N-Term)
Quick Overview for PIGV antibody (N-Term) (ABIN2782920)
Target
See all PIGV AntibodiesReactivity
Host
Clonality
Conjugate
Application
-
-
Binding Specificity
- N-Term
-
Sequence
- FVDQLVEGLL GGLSHWDAEH FLFIAEHGYL YEHNFAFFPG FPLALLVGTE
-
Predicted Reactivity
- Cow: 100%, Dog: 100%, Guinea Pig: 100%, Human: 100%, Mouse: 100%, Rabbit: 100%, Rat: 100%, Zebrafish: 86%
-
Characteristics
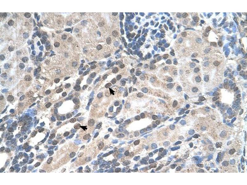
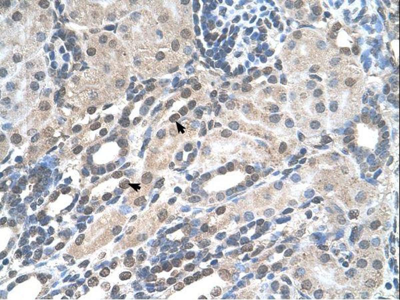
- This is a rabbit polyclonal antibody against PIGV. It was validated on Western Blot and immunohistochemistry.
-
Purification
- Protein A purified
-
Immunogen
- The immunogen is a synthetic peptide directed towards the N terminal region of human PIGV
-
-
-
-
Application Notes
- Optimal working dilutions should be determined experimentally by the investigator.
-
Comment
-
Antigen size: 493 AA
-
Restrictions
- For Research Use only
-
-
-
Format
- Liquid
-
Concentration
- Lot specific
-
Buffer
- Liquid. Purified antibody supplied in 1x PBS buffer with 0.09 % (w/v) sodium azide and 2 % sucrose.
-
Preservative
- Sodium azide
-
Precaution of Use
- This product contains Sodium azide: a POISONOUS AND HAZARDOUS SUBSTANCE which should be handled by trained staff only.
-
Handling Advice
- Avoid repeated freeze-thaw cycles.
-
Storage
- -20 °C
-
Storage Comment
- For short term use, store at 2-8°C up to 1 week. For long term storage, store at -20°C in small aliquots to prevent freeze-thaw cycles.
-
-
- PIGV (Phosphatidylinositol Glycan Anchor Biosynthesis, Class V (PIGV))
-
Alternative Name
- PIGV
-
Background
-
Glycosylphosphatidylinositol (GPI) is a complex glycolipid that anchors many proteins to the cell surface. The biosynthetic pathway of GPI is mediated by sequential addition of sugars and other components to phosphatidylinositol. PIGV adds the second mannose to the GPI core.
Alias Symbols: FLJ20477, PIG-V, GPI-MT-II
Protein Interaction Partner: BAG3, UBC,
Protein Size: 493 -
Molecular Weight
- 56 kDa
-
Gene ID
- 55650
-
NCBI Accession
- NM_017837, NP_060307
-
UniProt
- Q9NUD9
-
Pathways
- Inositol Metabolic Process
Target
-