Phone:
+1 877 302 8632
Fax:
+1 888 205 9894 (Toll-free)
E-Mail:
orders@antibodies-online.com

Cyclin H antibody (C-Term)

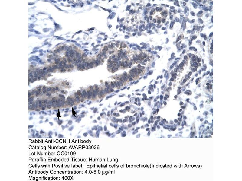
The Rabbit Polyclonal anti-Cyclin H antibody (ABIN2792161) specifically detects Cyclin H in WB and IHC. The antibody is reactive with Human, Mouse, Rat, Guinea Pig, Rabbit and Horse samples.
Catalog No. ABIN2792161
$429.69
Plus shipping costs $50.00
Shipping to: United States
Delivery in 2 to 4 Business Days

Quick Overview for Cyclin H antibody (C-Term) (ABIN2792161)

Target

See all Cyclin H (CCNH) Antibodies
Cyclin H (CCNH)

Reactivity

  • 98
  • 57
  • 27
  • 6
  • 4
  • 4
  • 4
  • 4
  • 4
  • 3
  • 2
  • 1
  • 1
Human, Mouse, Rat, Guinea Pig, Rabbit, Horse

Host

  • 82
  • 18
Rabbit

Clonality

  • 62
  • 38
Polyclonal

Conjugate

  • 56
  • 7
  • 4
  • 4
  • 4
  • 4
  • 4
  • 4
  • 4
  • 2
  • 2
  • 2
  • 1
  • 1
  • 1
This Cyclin H antibody is un-conjugated

Application

  • 69
  • 32
  • 28
  • 27
  • 23
  • 17
  • 15
  • 5
  • 4
  • 2
  • 1
  • 1
  • 1
  • 1
  • 1
  • 1
Western Blotting (WB), Immunohistochemistry (IHC)
  • Binding Specificity

    • 14
    • 11
    • 8
    • 6
    • 6
    • 5
    • 2
    • 2
    • 2
    • 2
    • 2
    • 1
    • 1
    • 1
    • 1
    • 1
    • 1
    C-Term

    Sequence

    KQKLERCHSA ELALNVITKK RKGYEDDDYV SKKSKHEEEE WTDDDLVESL

    Predicted Reactivity

    Guinea Pig: 100%, Horse: 100%, Human: 100%, Mouse: 83%, Rabbit: 83%, Rat: 83%

    Characteristics

    This is a rabbit polyclonal antibody against CCNH. It was validated on Western Blot and immunohistochemistry.

    Purification

    Protein A purified

    Immunogen

    The immunogen is a synthetic peptide directed towards the C terminal region of human CCNH
  • Application Notes

    Optimal working dilutions should be determined experimentally by the investigator.

    Comment

    Antigen size: 323 AA

    Restrictions

    For Research Use only
  • Format

    Liquid

    Concentration

    Lot specific

    Buffer

    Liquid. Purified antibody supplied in 1x PBS buffer with 0.09 % (w/v) sodium azide and 2 % sucrose.

    Preservative

    Sodium azide

    Precaution of Use

    This product contains Sodium azide: a POISONOUS AND HAZARDOUS SUBSTANCE which should be handled by trained staff only.

    Handling Advice

    Avoid repeated freeze-thaw cycles.

    Storage

    -20 °C

    Storage Comment

    For short term use, store at 2-8°C up to 1 week. For long term storage, store at -20°C in small aliquots to prevent freeze-thaw cycles.
  • Target

    Cyclin H (CCNH)

    Alternative Name

    CCNH

    Background

    Cyclin H regulates CDK7, the catalytic subunit of the CDK- activating kinase (CAK) enzymatic complex. CAK activates the cyclin-associated kinases CDC2/CDK1, CDK2, CDK4 and CDK6 by threonine phosphorylation. CAK complexed to the core-TFIIH basal transcription factor activates RNA polymerase II by serine phosphorylation of the repetitive carboxyl-terminus domain (CTD) of its large subunit (POLR2A), allowing its escape from the promoter and elongation of the transcripts. It is involved in cell cycle control and in RNA transcription by RNA polymerase II. Its expression and activity are constant throughout the cell cycle.
    Alias Symbols: CAK, p34, p37
    Protein Interaction Partner: SFN, GOLGA2, SSX2IP, CCDC170, CCDC33, DUSP12, SSSCA1, NDC80, CALCOCO2, PPFIA1, PSMA1, KLC3, RPA3, RPA2, RPA1, NEDD4, CDK7, CDK8, CDK2, CCNC, MNAT1, MBP, CTD, CDK20, CTBP2, CSNK2B, TRIM8, GANAB, RARB, POLR2A, GTF2H4, ERCC2, tat, POLR2B, CDK9, BRCA1, GTF2H1
    Protein Size: 323

    Molecular Weight

    38 kDa

    Gene ID

    902

    NCBI Accession

    NM_001239, NP_001230

    UniProt

    P51946

    Pathways

    Cell Division Cycle, Mitotic G1-G1/S Phases, M Phase
You are here:
Chat with us!