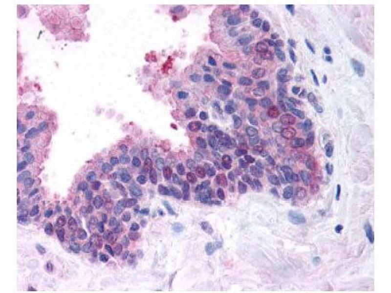
FANCD2 antibody (N-Term)
Quick Overview for FANCD2 antibody (N-Term) (ABIN363390)
Target
See all FANCD2 AntibodiesReactivity
Host
Clonality
Conjugate
Application
-
-
Binding Specificity
- N-Term
-
Specificity
- Reacts with human FANCD2
-
Cross-Reactivity
- Mouse (Murine)
-
Cross-Reactivity (Details)
- Cross reacts with mouse FANCD2.
-
Purification
- Purified
-
Immunogen
- Human FANCD2 fusion protein (N-terminal fragment)
-
-
-
-
Application Notes
-
Working dilution: Optimal dilutions should be determined by the end user.
The following are guidelines only:
- ICC/IF: 1:200-1:500 - IHC: 2.5-5.0 μg/mL - IHC-P:2.5-5.0 μg/mL - IP: 1:10-1:500 - WB:1:10000-1:20000 -
Restrictions
- For Research Use only
-
-
-
Format
- Liquid
-
Concentration
- 1 mg/mL
-
Buffer
- Tris-glycine, NaCl 150 mM buffer, Sodium azide 0.05 %
-
Preservative
- Sodium azide
-
Precaution of Use
- This product contains Sodium azide: a POISONOUS AND HAZARDOUS SUBSTANCE which should be handled by trained staff only.
-
Storage
- -20 °C/-80 °C
-
Storage Comment
- Aliquot and store at -20°C or -80°C. Avoid freeze-thaw cycles.
-
-
- FANCD2 (Fanconi Anemia, Complementation Group D2 (FANCD2))
-
Alternative Name
- Fanconi anemia D2
-
UniProt
- Q9BXW9
-
Pathways
- DNA Damage Repair
Target
-