Phone:
+1 877 302 8632
Fax:
+1 888 205 9894 (Toll-free)
E-Mail:
orders@antibodies-online.com

STOML1 antibody

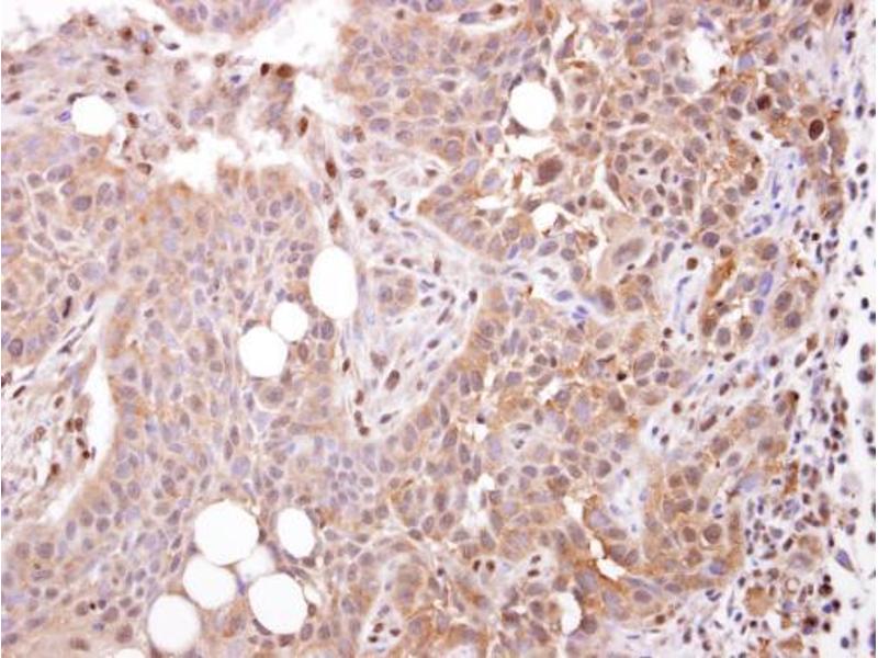
The Rabbit Polyclonal anti-STOML1 antibody (ABIN2855784) specifically detects STOML1 in WB and IHC (p). The antibody is reactive with Human samples.
Catalog No. ABIN2855784
$564.19
Plus shipping costs $50.00
100 μL
Shipping to: United States
Delivery in 3 to 5 Business Days

Quick Overview for STOML1 antibody (ABIN2855784)

Target

See all STOML1 Antibodies
STOML1 (Stomatin (EPB72)-Like 1 (STOML1))

Reactivity

  • 21
  • 3
  • 1
Human

Host

  • 19
  • 3
Rabbit

Clonality

  • 22
Polyclonal

Conjugate

  • 13
  • 3
  • 2
  • 2
  • 1
  • 1
This STOML1 antibody is un-conjugated

Application

  • 17
  • 13
  • 1
  • 1
Western Blotting (WB), Immunohistochemistry (Paraffin-embedded Sections) (IHC (p))
  • Cross-Reactivity

    Human

    Characteristics

    Rabbit polyclonal antibody to STOML1 (stomatin (EPB72)-like 1)
    STOML1 antibody [N2C3]

    Purification

    Purified by antigen-affinity chromatography.

    Immunogen

    Recombinant protein encompassing a sequence within the center region of human STOML1. The exact sequence is proprietary.

    Isotype

    IgG
  • Application Notes

    WB: 1:500-1:3000. IHC-P: 1:100-1:1000. Optimal dilutions/concentrations should be determined by the researcher. Not tested in other applications.

    Comment

    Positive Control: Molt-4

    Restrictions

    For Research Use only
  • Format

    Liquid

    Concentration

    1 mg/mL

    Buffer

    0.1M Tris-Glycine ( pH 7), 10 % Glycerol, 0.01 % Thimerosal

    Preservative

    Thimerosal (Merthiolate)

    Precaution of Use

    This product contains Thimerosal (Merthiolate): a POISONOUS AND HAZARDOUS SUBSTANCE which should be handled by trained staff only.

    Storage

    4 °C,-20 °C

    Storage Comment

    Store as concentrated solution. Centrifuge briefly prior to opening vial. For short-term storage (1-2 weeks), store at 4°C. For long-term storage, aliquot and store at -20°C or below. Avoid multiple freeze-thaw cycles.
  • Target

    STOML1 (Stomatin (EPB72)-Like 1 (STOML1))

    Alternative Name

    stomatin like 1

    Background

    Cellular Localization: Membrane, Single-pass type III membrane protein

    Molecular Weight

    43 kDa

    Gene ID

    9399

    UniProt

    Q9UBI4
You are here:
Chat with us!