TP53I3 antibody
Quick Overview for TP53I3 antibody (ABIN2856834)
Target
See all TP53I3 AntibodiesReactivity
Host
Clonality
Conjugate
Application
-
-
Cross-Reactivity
- Human
-
Characteristics
-
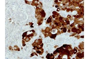
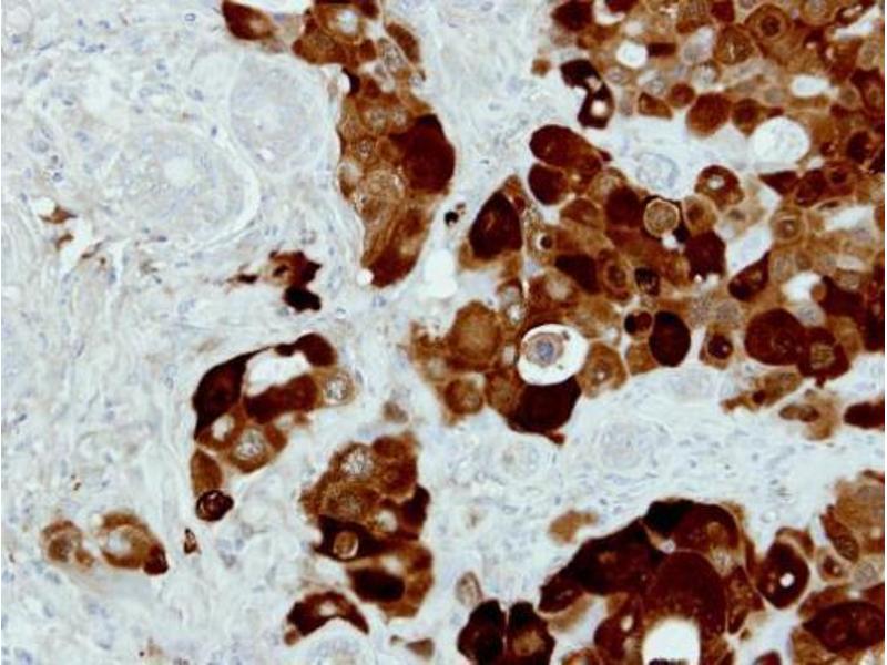
Rabbit Polyclonal antibody to PIG3 (tumor protein p53 inducible protein 3)
PIG3 antibody [N1C3] -
Purification
- Purified by antigen-affinity chromatography.
-
Immunogen
- Full length human PIG3 Recombinant protein.
-
Isotype
- IgG
-
-
-
-
Application Notes
- WB: 1:500-1:3000. ICC/IF: 1:100-1:1000. IHC-P: 1:100-1:1000. Optimal dilutions/concentrations should be determined by the researcher. Not tested in other applications.
-
Comment
-
Positive Control: HepG2
-
Restrictions
- For Research Use only
-
-
-
Format
- Liquid
-
Concentration
- 1 mg/mL
-
Buffer
- 0.1M Tris-Glycine ( pH 7), 10 % Glycerol, 0.01 % Thimerosal
-
Preservative
- Thimerosal (Merthiolate)
-
Precaution of Use
- This product contains Thimerosal (Merthiolate): a POISONOUS AND HAZARDOUS SUBSTANCE which should be handled by trained staff only.
-
Storage
- 4 °C,-20 °C
-
Storage Comment
- Store as concentrated solution. Centrifuge briefly prior to opening vial. For short-term storage (1-2 weeks), store at 4°C. For long-term storage, aliquot and store at -20°C or below. Avoid multiple freeze-thaw cycles.
-
-
- TP53I3 (Tumor Protein P53 Inducible Protein 3 (TP53I3))
-
Alternative Name
- tumor protein p53 inducible protein 3
-
Molecular Weight
- 36 kDa
-
Gene ID
- 9540
-
UniProt
- Q53FA7
-
Pathways
- p53 Signaling
Target
-