Phone:
+1 877 302 8632
Fax:
+1 888 205 9894 (Toll-free)
E-Mail:
orders@antibodies-online.com

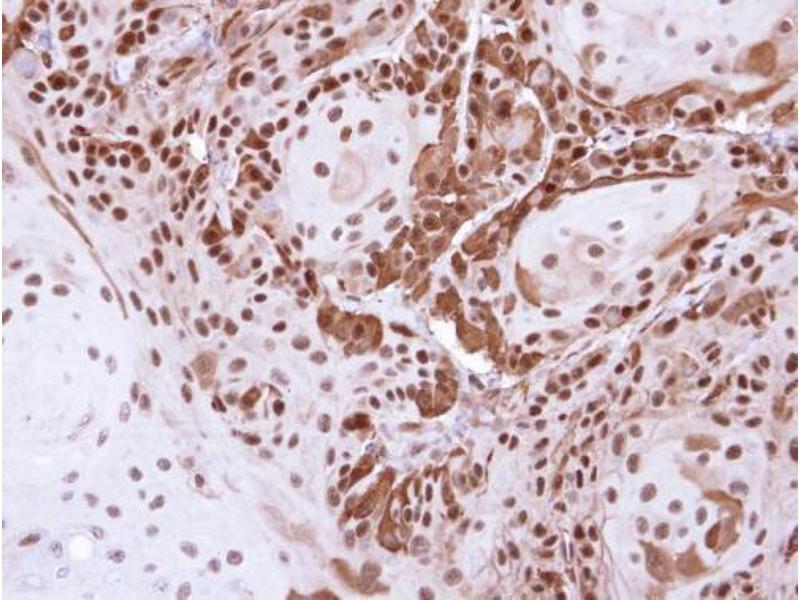
DDB1 antibody (C-Term)

The Rabbit Polyclonal anti-DDB1 antibody is suitable to detect DDB1 in samples from Human. It has been validated for WB, IF, ICC and IHC (p).
Catalog No. ABIN2857079
$564.19
Plus shipping costs $50.00
100 μL
Shipping to: United States
Delivery in 3 to 5 Business Days

Quick Overview for DDB1 antibody (C-Term) (ABIN2857079)

Target

See all DDB1 Antibodies
DDB1 (Damage Specific DNA Binding Protein 1 (DDB1))

Reactivity

  • 58
  • 35
  • 31
  • 2
  • 1
  • 1
  • 1
  • 1
  • 1
Human

Host

  • 49
  • 8
  • 1
Rabbit

Clonality

  • 36
  • 22
Polyclonal

Conjugate

  • 38
  • 3
  • 2
  • 2
  • 2
  • 2
  • 2
  • 2
  • 2
  • 1
  • 1
  • 1
This DDB1 antibody is un-conjugated

Application

  • 43
  • 26
  • 23
  • 17
  • 15
  • 11
  • 10
  • 3
  • 2
  • 2
  • 2
  • 2
  • 1
  • 1
Western Blotting (WB), Immunofluorescence (IF), Immunocytochemistry (ICC), Immunohistochemistry (Paraffin-embedded Sections) (IHC (p))

Grade

KO Validated
  • Binding Specificity

    • 9
    • 5
    • 2
    • 2
    • 1
    • 1
    • 1
    • 1
    • 1
    • 1
    • 1
    • 1
    C-Term

    Cross-Reactivity

    Human, Mouse, Rat

    Characteristics

    Rabbit Polyclonal antibody to DDB1 (damage-specific DNA binding protein 1, 127 kDa)
    DDB1 antibody

    Purification

    Purified by antigen-affinity chromatography.

    Immunogen

    Recombinant protein encompassing a sequence within the C-terminus region of human DDB1. The exact sequence is proprietary.

    Isotype

    IgG
  • Application Notes

    WB: 1:500-1:10000. ICC/IF: 1:100-1:1000. IHC-P: 1:100-1:1000. Optimal dilutions/concentrations should be determined by the researcher. Not tested in other applications.

    Comment

    Positive Control: NIH-3T3 , Mouse brain , PC-12 , Rat2 , rat brain , 293T

    Validation: KO/KD

    Restrictions

    For Research Use only
  • Format

    Liquid

    Concentration

    0.34 mg/mL

    Buffer

    1XPBS ( pH 7), 1 % BSA, 20 % Glycerol, 0.025 % ProClin 300

    Preservative

    ProClin

    Precaution of Use

    This product contains ProClin: a POISONOUS AND HAZARDOUS SUBSTANCE which should be handled by trained staff only.

    Storage

    4 °C,-20 °C

    Storage Comment

    Store as concentrated solution. Centrifuge briefly prior to opening vial. For short-term storage (1-2 weeks), store at 4°C. For long-term storage, aliquot and store at -20°C or below. Avoid multiple freeze-thaw cycles.
  • Target

    DDB1 (Damage Specific DNA Binding Protein 1 (DDB1))

    Alternative Name

    damage specific DNA binding protein 1

    Background

    This gene encodes the large subunit of DNA damage-binding protein which is a heterodimer composed of a large and a small subunit. This protein functions in nucleotide-excision repair. Its defective activity causes the repair defect in the patients with xeroderma pigmentosum complementation group E (XPE). However, it remains for mutation analysis to demonstrate whether the defect in XPE patients is in this gene or the gene encoding the small subunit. In addition, Best vitelliform mascular dystrophy is mapped to the same region as this gene on 11q, but no sequence alternations of this gene are demonstrated in Best disease patients.

    Cellular Localization: Cytoplasm , Nucleus

    Molecular Weight

    127 kDa

    Gene ID

    1642

    UniProt

    Q16531

    Pathways

    DNA Damage Repair
You are here:
Chat with us!