Phone:
+1 877 302 8632
Fax:
+1 888 205 9894 (Toll-free)
E-Mail:
orders@antibodies-online.com

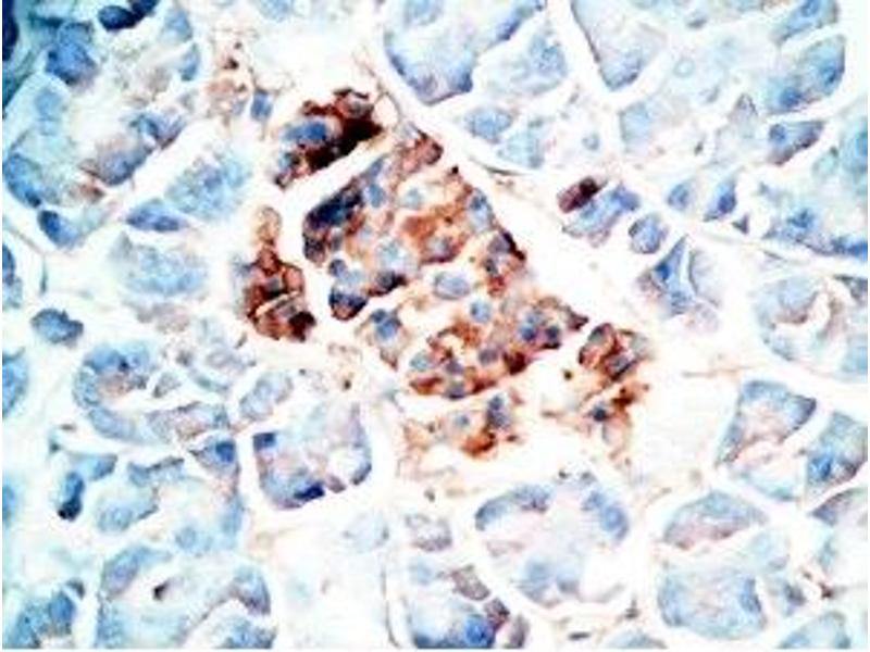
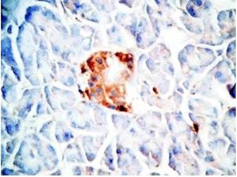
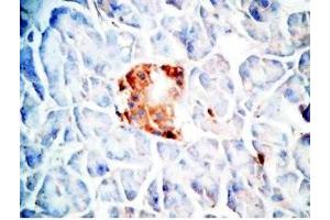
OXM antibody

The Rabbit Polyclonal anti-OXM antibody is suitable to detect OXM in samples from Human, Mouse and Rat. It has been validated for IHC.
Catalog No. ABIN2872842
Shipping to: United States
Contact our Customer Service for availability and price in your country. Contact Info

Quick Overview for OXM antibody (ABIN2872842)

Target

See all OXM Antibodies
OXM (Oxyntomodulin (OXM))

Reactivity

  • 6
  • 1
  • 1
  • 1
Human, Mouse, Rat

Host

  • 5
  • 2
Rabbit

Clonality

  • 5
  • 2
Polyclonal

Conjugate

  • 7
This OXM antibody is un-conjugated

Application

  • 4
  • 3
  • 3
  • 2
  • 2
Immunohistochemistry (IHC)
  • Purification

    unpurified serum

    Immunogen

    5-10 mg of > 70% pure peptide conjugated to KLH.
  • Application Notes

    Optimal working dilution should be determined by the investigator.

    Restrictions

    For Research Use only
  • Format

    Liquid

    Storage

    4 °C,-20 °C

    Storage Comment

    Store antibodies at 2-4°C before and at -20°C after rehydration. The product is stable for approximately 3-6 weeks after rehydration at -20°C or below.
  • Target

    OXM (Oxyntomodulin (OXM))

    Alternative Name

    Oxyntomodulin
You are here:
Chat with us!