Phone:
+1 877 302 8632
Fax:
+1 888 205 9894 (Toll-free)
E-Mail:
orders@antibodies-online.com

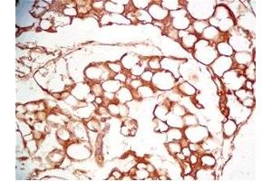
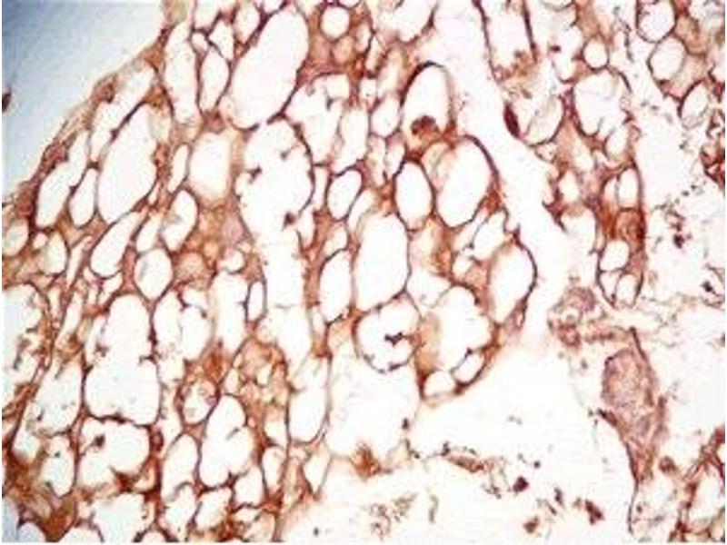
Cathepsin S antibody (AA 298-331)

The Rabbit Polyclonal anti-Cathepsin S antibody is suitable to detect Cathepsin S in samples from Human. It has been validated for IHC.
Catalog No. ABIN2873290
Shipping to: United States
Contact our Customer Service for availability and price in your country. Contact Info

Quick Overview for Cathepsin S antibody (AA 298-331) (ABIN2873290)

Target

See all Cathepsin S (CTSS) Antibodies
Cathepsin S (CTSS)

Reactivity

  • 62
  • 15
  • 8
  • 4
  • 3
  • 2
  • 2
  • 2
  • 2
  • 1
  • 1
  • 1
Human

Host

  • 65
  • 12
  • 2
  • 1
Rabbit

Clonality

  • 54
  • 26
Polyclonal

Conjugate

  • 44
  • 8
  • 8
  • 3
  • 2
  • 2
  • 2
  • 2
  • 2
  • 2
  • 1
  • 1
  • 1
  • 1
  • 1
This Cathepsin S antibody is un-conjugated

Application

  • 51
  • 38
  • 25
  • 21
  • 17
  • 12
  • 8
  • 5
  • 4
  • 3
  • 2
  • 1
  • 1
  • 1
  • 1
  • 1
Immunohistochemistry (IHC)
  • Binding Specificity

    • 10
    • 9
    • 5
    • 3
    • 3
    • 3
    • 2
    • 1
    • 1
    • 1
    • 1
    • 1
    • 1
    • 1
    AA 298-331

    Purification

    unpurified serum

    Immunogen

    5-10 mg of > 70% pure peptide conjugated to KLH.
  • Application Notes

    Optimal working dilution should be determined by the investigator.

    Restrictions

    For Research Use only
  • Format

    Liquid

    Storage

    4 °C,-20 °C

    Storage Comment

    Store antibodies at 2-4°C before and at -20°C after rehydration. The product is stable for approximately 3-6 weeks after rehydration at -20°C or below.
  • Target

    Cathepsin S (CTSS)

    Alternative Name

    Cathepsin S

    Pathways

    Activation of Innate immune Response, Toll-Like Receptors Cascades
You are here:
Chat with us!