Phone:
+1 877 302 8632
Fax:
+1 888 205 9894 (Toll-free)
E-Mail:
orders@antibodies-online.com

SUB1 antibody

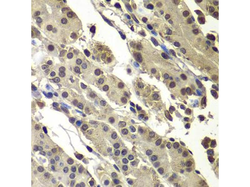
The Rabbit Polyclonal anti-SUB1 antibody (ABIN2970385) specifically detects SUB1 in WB, IHC, IP and IF/ICC. The antibody is reactive with Human and Mouse samples.
Catalog No. ABIN2970385
$880.76
Plus shipping costs $50.00
Shipping to: United States
Delivery in 10 to 18 Business Days

Quick Overview for SUB1 antibody (ABIN2970385)

Target

See all SUB1 Antibodies
SUB1 (Activated RNA Polymerase II Transcriptional Coactivator p15 (SUB1))

Reactivity

  • 39
  • 16
  • 13
  • 7
  • 6
  • 4
  • 3
  • 3
  • 3
  • 2
  • 2
  • 2
  • 2
  • 1
Human, Mouse

Host

  • 34
  • 5
Rabbit

Clonality

  • 35
  • 4
Polyclonal

Conjugate

  • 28
  • 3
  • 3
  • 3
  • 1
  • 1
This SUB1 antibody is un-conjugated

Application

  • 33
  • 19
  • 18
  • 11
  • 5
  • 5
  • 2
  • 2
Western Blotting (WB), Immunohistochemistry (IHC), Immunoprecipitation (IP), Immunofluorescence (fixed cells) (IF/ICC)
You are here:
Chat with us!