×
For best experience we recommend to activate Javascript in your browser.
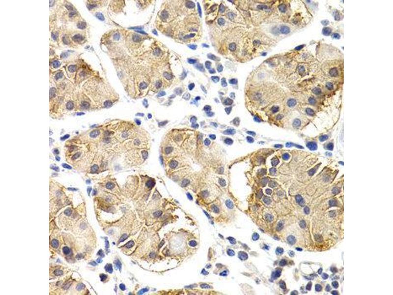
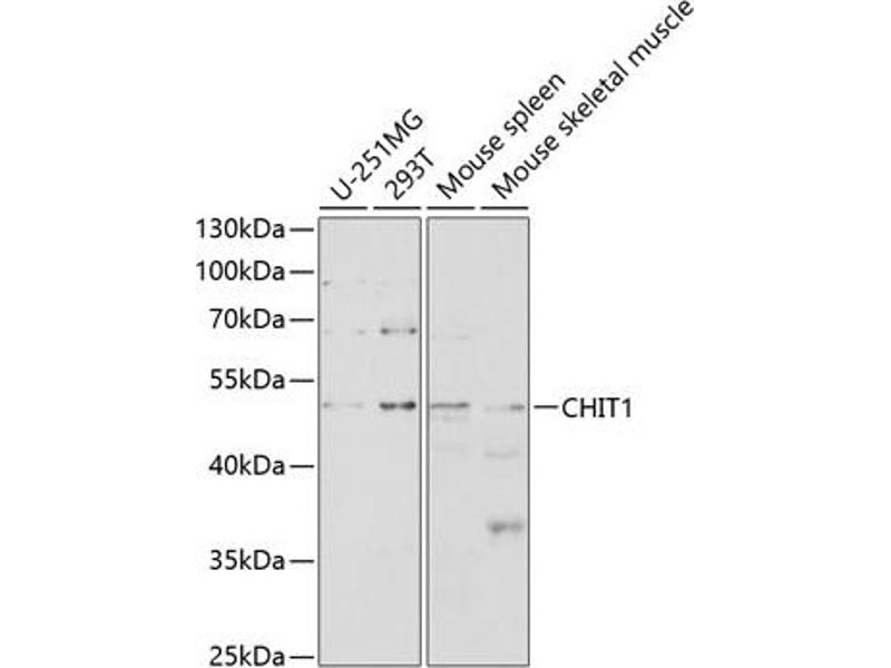
Chitotriosidase 1 antibody (AA 217-466)
This Rabbit Polyclonal antibody specifically detects Chitotriosidase 1 in WB and IHC. It exhibits reactivity toward Human.
Catalog No. ABIN3015833
$383.00
Plus shipping costs $50.00
20 μL ABIN6219182
100 μL ABIN3015833
500 μL ABIN3015834
1000 μL ABIN3015832
20 μL ABIN6219182
100 μL ABIN3015833
500 μL ABIN3015834
1000 μL ABIN3015832
Delivery in 7 to 10 Business Days
Quick Overview for Chitotriosidase 1 antibody (AA 217-466) (ABIN3015833)
Target
See all Chitotriosidase 1 (CHIT1) Antibodies
Chitotriosidase 1 (CHIT1)
(Chitotriosidase (CHIT1))
Reactivity
All reactivities for Chitotriosidase 1 antibodies
Human
Host
All hosts for Chitotriosidase 1 antibodies
Rabbit
Clonality
All clonalities for Chitotriosidase 1 antibodies
Polyclonal
Conjugate
All conjugates for Chitotriosidase 1 antibodies
This Chitotriosidase 1 antibody is un-conjugated
Application
All applications for Chitotriosidase 1 antibodies
Western Blotting (WB), Immunohistochemistry (IHC)
Product Details anti-Chitotriosidase 1 Antibody
(hide)
Binding Specificity
All epitopes for Chitotriosidase 1 antibodies
AA 217-466
Sequence
SWEKVTGHNS PLYKRQEESG AAASLNVDAA VQQWLQKGTP ASKLILGMPT YGRSFTLASS SDTRVGAPAT GSGTPGPFTK EGGMLAYYEV CSWKGATKQR IQDQKVPYIF RDNQWVGFDD VESFKTKVSY LKQKGLGGAM VWALDLDDFA GFSCNQGRYP LIQTLRQELS LPYLPSGTPE LEVPKPGQPS EPEHGPSPGQ DTFCQGKADG LYPNPRERSS FYSCAAGRLF QQSCPTGLVF SNSCKCCTWN
Cross-Reactivity
Human, Mouse
Characteristics
Polyclonal Antibodies
Purification
Affinity purification
Immunogen
Recombinant fusion protein containing a sequence corresponding to amino acids 217-466 of human CHIT1 (NP_003456.1).
Isotype
IgG
Alternatives
(show)
Application Details
(hide)
Application Notes
WB,1:500 - 1:2000,IHC,1:50 - 1:200
Restrictions
For Research Use only
Handling
(hide)
Buffer
PBS with 0.02 % sodium azide,50 % glycerol, pH 7.3.
Preservative
Sodium azide
Precaution of Use
This product contains Sodium azide: a POISONOUS AND HAZARDOUS SUBSTANCE which should be handled by trained staff only.
Storage
-20 °C
Storage Comment
Store at -20°C. Avoid freeze / thaw cycles.
Target Details for Chitotriosidase 1
(hide)
Target
Chitotriosidase 1 (CHIT1)
(Chitotriosidase (CHIT1))
Alternative Name
CHIT1
Background
Chitotriosidase is secreted by activated human macrophages and is markedly elevated in plasma of Gaucher disease patients. The expression of chitotriosidase occurs only at a late stage of differentiation of monocytes to activated macrophages in culture. Human macrophages can synthesize a functional chitotriosidase, a highly conserved enzyme with a strongly regulated expression. This enzyme may play a role in the degradation of chitin-containing pathogens. Several alternatively spliced transcript variants have been described for this gene.,CHIT1,CHI3,CHIT,CHITD,Immunology & Inflammation,Cell Intrinsic Innate Immunity Signaling Pathway,CHIT1
Molecular Weight
43 kDa/48 kDa/49 kDa/51 kDa
Gene ID
1118
UniProt
Q13231
Recently viewed
(hide)
You are here:
Homepage
anti-Chitotriosidase 1 antibody (AA 217-466) (ABIN3015833)
Chat with us , powered by LiveChat