Phone:
+1 877 302 8632
Fax:
+1 888 205 9894 (Toll-free)
E-Mail:
orders@antibodies-online.com

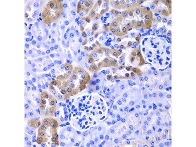
LAMP1 antibody (AA 80-280)

There is 1 publication for this product available. The Rabbit Polyclonal anti-LAMP1 antibody is suitable to detect LAMP1 in samples from Human. It has been validated for WB and IF.
Catalog No. ABIN3016286
$383.00
Plus shipping costs $50.00
Shipping to: United States
Delivery in 7 to 10 Business Days

Quick Overview for LAMP1 antibody (AA 80-280) (ABIN3016286)

Target

See all LAMP1 Antibodies
LAMP1 (Lysosomal-Associated Membrane Protein 1 (LAMP1))

Reactivity

  • 139
  • 70
  • 39
  • 30
  • 8
  • 4
  • 3
  • 3
  • 3
  • 2
  • 2
  • 1
  • 1
Human

Host

  • 79
  • 78
  • 27
  • 2
  • 1
Rabbit

Clonality

  • 137
  • 50
Polyclonal

Conjugate

  • 63
  • 18
  • 16
  • 13
  • 9
  • 6
  • 5
  • 4
  • 4
  • 4
  • 4
  • 3
  • 2
  • 2
  • 2
  • 2
  • 2
  • 2
  • 2
  • 2
  • 1
  • 1
  • 1
  • 1
  • 1
  • 1
  • 1
  • 1
  • 1
  • 1
  • 1
  • 1
  • 1
  • 1
  • 1
  • 1
  • 1
  • 1
  • 1
  • 1
  • 1
  • 1
This LAMP1 antibody is un-conjugated

Application

  • 110
  • 91
  • 65
  • 35
  • 29
  • 27
  • 24
  • 13
  • 13
  • 13
  • 13
  • 3
  • 3
  • 2
  • 2
  • 2
  • 1
  • 1
  • 1
  • 1
Western Blotting (WB), Immunofluorescence (IF)
  • Binding Specificity

    • 16
    • 9
    • 6
    • 3
    • 3
    • 2
    • 2
    • 2
    • 2
    • 2
    • 1
    • 1
    • 1
    • 1
    • 1
    • 1
    • 1
    AA 80-280

    Sequence

    CGKENTSDPS LVIAFGRGHT LTLNFTRNAT RYSVQLMSFV YNLSDTHLFP NASSKEIKTV ESITDIRADI DKKYRCVSGT QVHMNNVTVT LHDATIQAYL SNSSFSRGET RCEQDRPSPT TAPPAPPSPS PSPVPKSPSV DKYNVSGTNG TCLLASMGLQ LNLTYERKDN TTVTRLLNIN PNKTSASGSC GAHLVTLELH S

    Cross-Reactivity

    Human, Mouse, Rat

    Characteristics

    Polyclonal Antibodies

    Immunogen

    Recombinant fusion protein containing a sequence corresponding to amino acids 80-280 of human LAMP1 (NP_005552.3).

    Isotype

    IgG
  • Application Notes

    WB,1:500 - 1:2000,IF,1:50 - 1:200

    Restrictions

    For Research Use only
  • Buffer

    PBS with 0.02 % sodium azide,50 % glycerol, pH 7.3.

    Preservative

    Sodium azide

    Precaution of Use

    This product contains Sodium azide: a POISONOUS AND HAZARDOUS SUBSTANCE which should be handled by trained staff only.

    Storage

    -20 °C

    Storage Comment

    Store at -20°C. Avoid freeze / thaw cycles.
  • Deng, Pan, Cheng, Liu, Zhang, Zhang, Xu: "Regulation of SREBP-2 intracellular trafficking improves impaired autophagic flux and alleviates endoplasmic reticulum stress in NAFLD." in: Biochimica et biophysica acta. Molecular and cell biology of lipids, Vol. 1862, Issue 3, pp. 337-350, (2017) (PubMed).

  • Target

    LAMP1 (Lysosomal-Associated Membrane Protein 1 (LAMP1))

    Alternative Name

    LAMP1

    Background

    The protein encoded by this gene is a member of a family of membrane glycoproteins. This glycoprotein provides selectins with carbohydrate ligands. It may also play a role in tumor cell metastasis.,LAMP1,CD107a,LAMPA,LGP120,Cancer,Signal Transduction,Cell Biology & Developmental Biology,Autophagy,Endocrine & Metabolism,Immunology & Inflammation,CD markers,Neuroscience,Cell Type Marker,Stem Cells,Hematopoietic Progenitors,Neuron marker,Growth Cone,LAMP1

    Molecular Weight

    38 kDa/44 kDa

    Gene ID

    3916

    UniProt

    P11279

    Pathways

    Autophagy
You are here:
Chat with us!