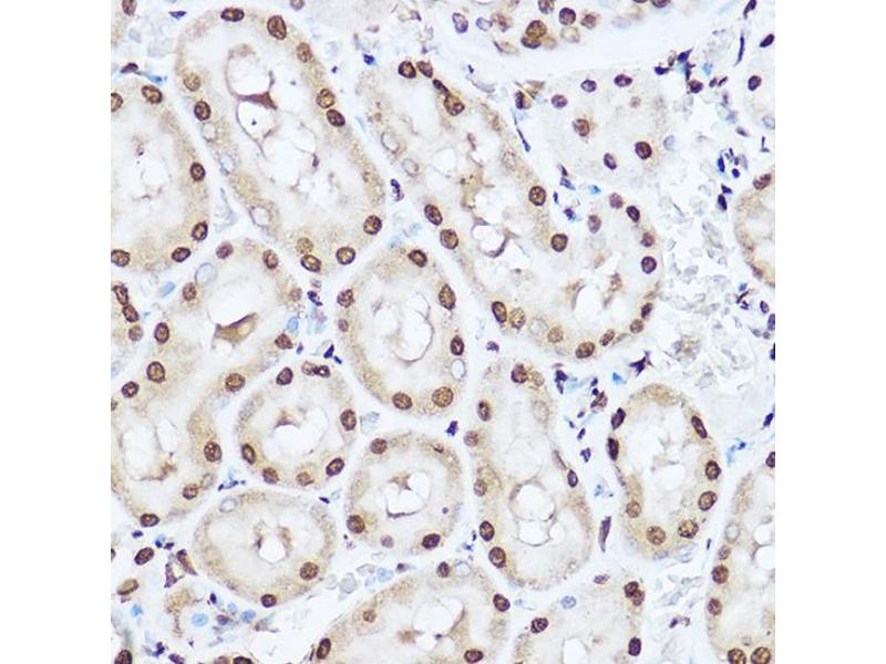
There are 2+ publications for this product available. The Rabbit Polyclonal anti-SOD1 antibody is suitable to detect SOD1 in samples from Human. It has been validated for WB, IHC and IF.
PBS with 0.02 % sodium azide,50 % glycerol, pH 7.3.
Preservative
Sodium azide
Precaution of Use
This product contains Sodium azide: a POISONOUS AND HAZARDOUS SUBSTANCE which should be handled by trained staff only.
Handling Advice
Avoid freeze / thaw cycles
Storage
-20 °C
Storage Comment
Store at -20°C. Avoid freeze / thaw cycles.
Qiu, Wu, Meng, Luo, Zhao, Sun, Gao: "GYY4137 protects against myocardial ischemia/reperfusion injury via activation of the PHLPP-1/Akt/Nrf2 signaling pathway in diabetic mice." in: The Journal of surgical research, Vol. 225, pp. 29-39, (2018) (PubMed).
Lin, Wang, Zou, Sun, Liu, Zhao, Wang, Jin: "The Influenza Virus H5N1 Infection Can Induce ROS Production for Viral Replication and Host Cell Death in A549 Cells Modulated by Human Cu/Zn Superoxide Dismutase (SOD1) Overexpression." in: Viruses, Vol. 8, Issue 1, (2016) (PubMed).
Target
SOD1
(Superoxide Dismutase 1, Soluble (SOD1))
Alternative Name
SOD1
Background
The protein encoded by this gene binds copper and zinc ions and is one of two isozymes responsible for destroying free superoxide radicals in the body. The encoded isozyme is a soluble cytoplasmic protein, acting as a homodimer to convert naturally-occuring but harmful superoxide radicals to molecular oxygen and hydrogen peroxide. The other isozyme is a mitochondrial protein. Mutations in this gene have been implicated as causes of familial amyotrophic lateral sclerosis. Rare transcript variants have been reported for this gene.,SOD1,ALS,ALS1,HEL-S-44,IPOA,SOD,hSod1,homodimer,Cancer,Signal Transduction,Cell Biology & Developmental Biology,Apoptosis,Endocrine & Metabolism,Neuroscience,Neurodegenerative Diseases,SOD1