Phone:
+1 877 302 8632
Fax:
+1 888 205 9894 (Toll-free)
E-Mail:
orders@antibodies-online.com

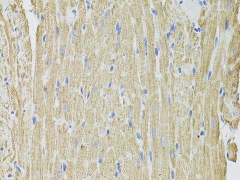
FHIT antibody (AA 25-147)

This Rabbit Polyclonal antibody specifically detects FHIT in WB. It exhibits reactivity toward Human.
Catalog No. ABIN3021692
$383.00
Plus shipping costs $50.00
Shipping to: United States
Delivery in 7 to 10 Business Days

Quick Overview for FHIT antibody (AA 25-147) (ABIN3021692)

Target

See all FHIT Antibodies
FHIT (Fragile Histidine Triad (FHIT))

Reactivity

  • 86
  • 25
  • 12
  • 2
  • 2
  • 2
  • 1
  • 1
Human

Host

  • 81
  • 10
Rabbit

Clonality

  • 79
  • 12
Polyclonal

Conjugate

  • 35
  • 7
  • 5
  • 4
  • 3
  • 3
  • 3
  • 3
  • 3
  • 3
  • 2
  • 2
  • 2
  • 2
  • 2
  • 2
  • 2
  • 2
  • 2
  • 2
  • 2
This FHIT antibody is un-conjugated

Application

  • 45
  • 32
  • 26
  • 26
  • 14
  • 12
  • 7
  • 6
  • 5
  • 5
Western Blotting (WB)
  • Binding Specificity

    • 18
    • 15
    • 6
    • 6
    • 5
    • 3
    • 2
    • 2
    • 1
    • 1
    • 1
    • 1
    • 1
    • 1
    • 1
    • 1
    AA 25-147

    Sequence

    LVNRKPVVPG HVLVCPLRPV ERFHDLRPDE VADLFQTTQR VGTVVEKHFH GTSLTFSMQD GPEAGQTVKH VHVHVLPRKA GDFHRNDSIY EELQKHDKED FPASWRSEEE MAAEAAALRV YFQ

    Cross-Reactivity

    Human, Mouse, Rat

    Characteristics

    Polyclonal Antibodies

    Purification

    Affinity purification

    Immunogen

    Recombinant fusion protein containing a sequence corresponding to amino acids 25-147 of human FHIT (NP_001159715.1).

    Isotype

    IgG
  • Application Notes

    WB,1:500 - 1:2000

    Restrictions

    For Research Use only
  • Format

    Liquid

    Buffer

    PBS with 0.02 % sodium azide,50 % glycerol, pH 7.3.

    Preservative

    Sodium azide

    Precaution of Use

    This product contains Sodium azide: a POISONOUS AND HAZARDOUS SUBSTANCE which should be handled by trained staff only.

    Handling Advice

    Avoid freeze / thaw cycles

    Storage

    -20 °C

    Storage Comment

    Store at -20°C. Avoid freeze / thaw cycles.
  • Target

    FHIT (Fragile Histidine Triad (FHIT))

    Alternative Name

    FHIT

    Background

    This gene, a member of the histidine triad gene family, encodes a diadenosine 5',5'''-P1,P3-triphosphate hydrolase involved in purine metabolism. The gene encompasses the common fragile site FRA3B on chromosome 3, where carcinogen-induced damage can lead to translocations and aberrant transcripts of this gene. In fact, aberrant transcripts from this gene have been found in about half of all esophageal, stomach, and colon carcinomas. Alternatively spliced transcript variants have been found for this gene.,FHIT,AP3Aase,FRA3B,Epigenetics & Nuclear Signaling,Cancer,Tumor suppressors,FHIT

    Molecular Weight

    16 kDa

    Gene ID

    2272

    UniProt

    P49789
You are here:
Chat with us!