Phone:
+1 877 302 8632
Fax:
+1 888 205 9894 (Toll-free)
E-Mail:
orders@antibodies-online.com

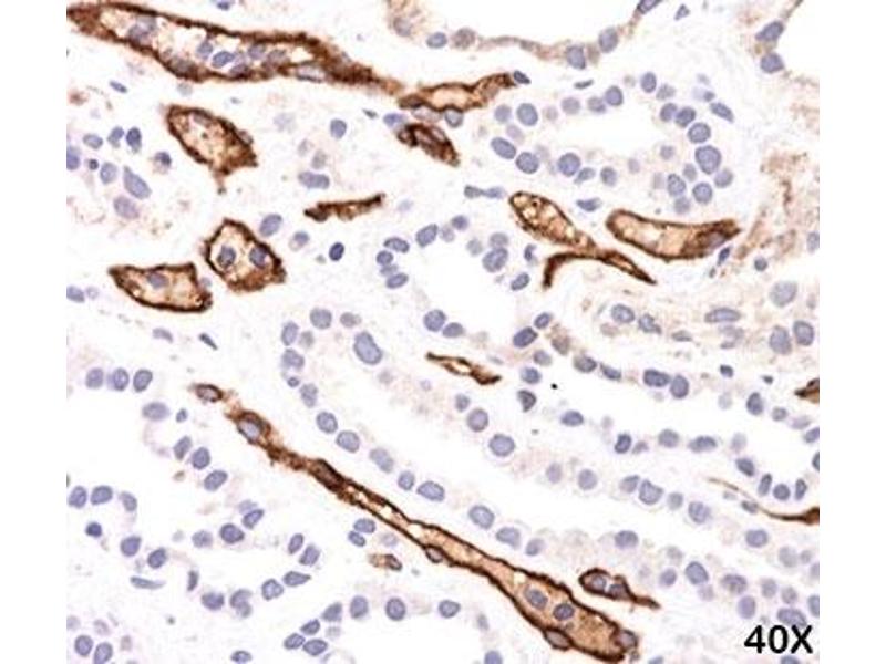
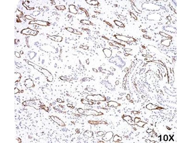
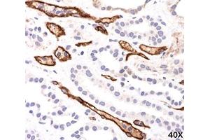
Complement C4d antibody

The Mouse Monoclonal anti-Complement C4d antibody is suitable to detect Complement C4d in samples from Human. It has been validated for IF, ELISA and IHC (p).
Catalog No. ABIN3026358
$640.46
Plus shipping costs $50.00
100 μg
Shipping to: United States
Delivery in 2 to 4 Business Days

Quick Overview for Complement C4d antibody (ABIN3026358)

Target

Complement C4d (C4d) (Complement Component C4d (C4d))

Reactivity

  • 33
  • 2
  • 1
  • 1
  • 1
  • 1
  • 1
Human

Host

  • 26
  • 9
Mouse

Clonality

  • 27
  • 8
Monoclonal

Conjugate

  • 18
  • 2
  • 2
  • 2
  • 2
  • 2
  • 2
  • 2
  • 1
  • 1
  • 1
This Complement C4d antibody is un-conjugated

Application

  • 21
  • 20
  • 15
  • 12
  • 9
  • 9
  • 8
  • 7
  • 4
  • 4
  • 3
  • 1
  • 1
  • 1
  • 1
Immunofluorescence (IF), ELISA, Immunohistochemistry (Paraffin-embedded Sections) (IHC (p))

Clone

C4D204
  • Characteristics

    This antibody is specific to Complement 4d (C4d) and it reacts with the secreted as well as cell-bound protein. C4d is a degradation product of the activated complement factor C4b. Complement 4b is typically activated by binding of antibodies to specific target molecules. Following activation and degradation of the C4 Molecule, thio-ester groups are exposed, which allow transient, covalent binding of the degradation product C4d to endothelial cell surfaces and extracellular matrix components of vascular basement membranes near the sites of C4 activation. The presence of C4d in peritubular capillaries is a key indicator for acute humoral (i.e. antibody-mediated) rejection of kidney, heart, pancreas and lung allografts. As an established marker of antibody-mediated acute renal allograft rejection and its proclivity for endothelium, this component can be detected in peritubular capillaries in chronic renal allograft rejection as well as hyperacute rejection, acute vascular rejection, acute cellular rejection, and borderline rejection. C4d has been shown to be a significant predictor of transplant kidney graft survival. C4d antibody, combined with antibody to C3d, can be utilized as a tool for diagnosis of allograft rejection that may warrant a prompt and aggressive anti-rejection treatment.

    Purification

    Protein G affinity chromatography

    Immunogen

    Human protein was used as the immunogen for this C4d antibody.

    Isotype

    IgG1 kappa
  • Application Notes

    The concentration stated for each application is a general starting point. Variations in protocols, secondaries and substrates may require the C4d antibody to be titered up or down for optimal performance.

    1. Staining of formalin-fixed tissues requires boiling tissue sections in 1  mM EDTA,  pH 7.5-8.5, for 10-20 min followed by cooling at RT for 20 minutes.
    2. The prediluted format is supplied in a dropper bottle and is optimized for use in IHC. After epitope retrieval step (if required), drip mAb solution onto the tissue section and incubate at RT for 30 min.\. IF: 1:50-1:100,IHC (FFPE): 1:200-1:400 for 30 minutes at RT (1),Prediluted format : incubate for 30 min at RT (2),ELISA: 1-2 μg/mL, order the BSA-free format

    Restrictions

    For Research Use only
  • Concentration

    1 mg/mL

    Buffer

    1 mg/mL in 1X PBS, BSA free, sodium azide free

    Preservative

    Azide free

    Storage

    4 °C

    Storage Comment

    Store the C4d antibody at 2-8°C.
  • Target

    Complement C4d (C4d) (Complement Component C4d (C4d))

    Alternative Name

    C4d Complement 4d

    Background

    This antibody is specific to Complement 4d (C4d) and it reacts with the secreted as well as cell-bound protein. C4d is a degradation product of the activated complement factor C4b. Complement 4b is typically activated by binding of antibodies to specific target molecules. Following activation and degradation of the C4 Molecule, thio-ester groups are exposed, which allow transient, covalent binding of the degradation product C4d to endothelial cell surfaces and extracellular matrix components of vascular basement membranes near the sites of C4 activation. The presence of C4d in peritubular capillaries is a key indicator for acute humoral (i.e. antibody-mediated) rejection of kidney, heart, pancreas and lung allografts. As an established marker of antibody-mediated acute renal allograft rejection and its proclivity for endothelium, this component can be detected in peritubular capillaries in chronic renal allograft rejection as well as hyperacute rejection, acute vascular rejection, acute cellular rejection, and borderline rejection. C4d has been shown to be a significant predictor of transplant kidney graft survival. C4d antibody, combined with antibody to C3d, can be utilized as a tool for diagnosis of allograft rejection that may warrant a prompt and aggressive anti-rejection treatment.

    Gene ID

    720
You are here:
Chat with us!