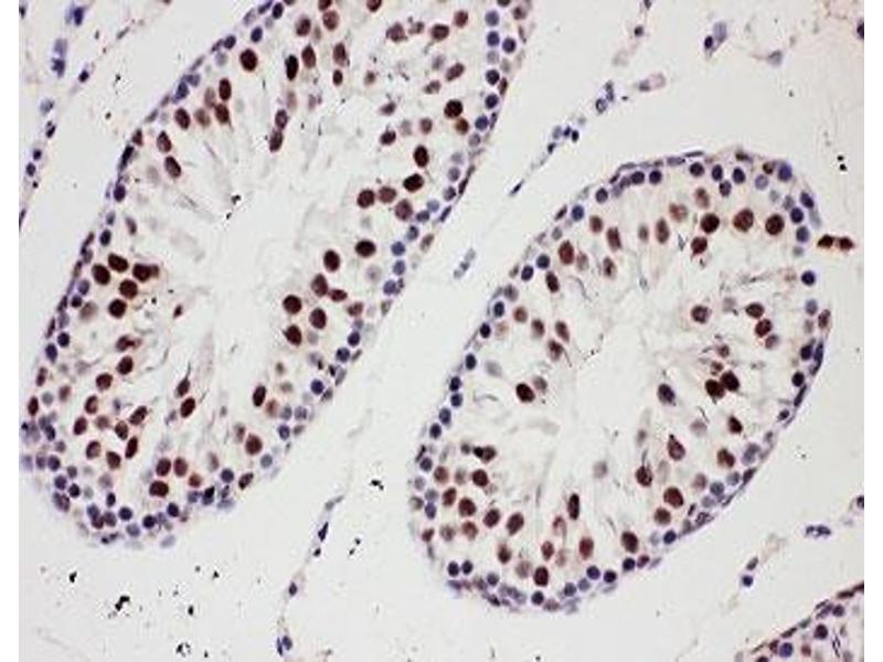
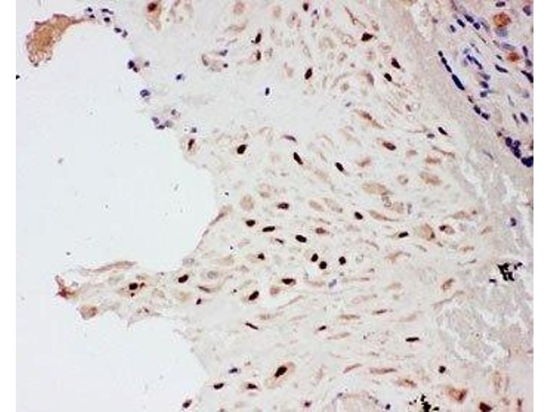
The Rabbit Polyclonal anti-PIAS1 antibody is suitable to detect PIAS1 in samples from Human, Mouse and Rat. It has been validated for WB, ICC and IHC (p).
PIAS1
Reactivity: Human
IP
Host: Rabbit
Polyclonal
unconjugated
Application Notes
The stated application concentrations are suggested starting amounts. Titration of the PIAS1 antibody may be required due to differences in protocols and secondary/substrate sensitivity.\. Western blot: 0.5-1 μg/mL,IHC (Paraffin): 0.5-1 μg/mL,Immunocytochemistry: 0.5-1 μg/mL
Restrictions
For Research Use only
Buffer
0.5 mg/mL if reconstituted with 0.2 mL sterile DI water
Storage
-20 °C
Storage Comment
After reconstitution, the PIAS1 antibody can be stored for up to one month at 4°C. For long-term, aliquot and store at -20°C. Avoid repeated freezing and thawing.
Target
PIAS1
(Protein Inhibitor of Activated STAT, 1 (PIAS1))
Alternative Name
PIAS1
Background
E3 SUMO-protein ligase PIAS1 is an enzyme that in humans is encoded by the PIAS1 gene. This gene encodes a member of the mammalian PIAS [protein inhibitor of activated STAT-1(signal transducer and activator of transcription-1)] family. It contains a putative zinc-binding motif and a highly acidic region. PIAS1 inhibited STAT1-mediated gene activation in response to interferon when expressed in mammalian cells. It functions in testis as a nuclear receptor transcriptional coregulator and may have a role in AR initiation and maintenance of spermatogenesis. PIAS1 can also function as a SUMO ligase, or possibly as a tightly bound regulator of it, toward p53.