Phone:
+1 877 302 8632
Fax:
+1 888 205 9894 (Toll-free)
E-Mail:
orders@antibodies-online.com

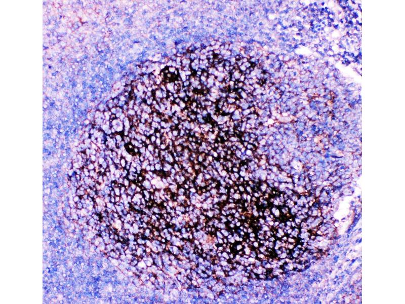
CD82 antibody (AA 98-267)

This Rabbit Polyclonal antibody specifically detects CD82 in WB and IHC. It exhibits reactivity toward Human.
Catalog No. ABIN3043486
$370.00
Plus shipping costs $50.00
100 μg
Shipping to: United States
Delivery in 4 to 7 Business Days

Quick Overview for CD82 antibody (AA 98-267) (ABIN3043486)

Target

See all CD82 Antibodies
CD82

Reactivity

  • 64
  • 45
  • 9
  • 1
  • 1
  • 1
Human

Host

  • 65
  • 27
Rabbit

Clonality

  • 62
  • 30
Polyclonal

Conjugate

  • 36
  • 9
  • 7
  • 5
  • 4
  • 4
  • 2
  • 2
  • 2
  • 2
  • 2
  • 2
  • 2
  • 2
  • 1
  • 1
  • 1
  • 1
  • 1
  • 1
  • 1
  • 1
  • 1
  • 1
  • 1
This CD82 antibody is un-conjugated

Application

  • 56
  • 35
  • 26
  • 22
  • 20
  • 18
  • 13
  • 13
  • 8
  • 7
  • 7
  • 5
  • 3
  • 2
  • 1
  • 1
Western Blotting (WB), Immunohistochemistry (IHC)
  • Binding Specificity

    • 15
    • 9
    • 8
    • 7
    • 6
    • 2
    • 1
    • 1
    • 1
    • 1
    • 1
    AA 98-267

    Purpose

    Anti-CD82 Antibody

    Cross-Reactivity (Details)

    No cross-reactivity with other proteins

    Characteristics

    Anti-CD82 Antibody (ABIN3043486). Tested in IHC, WB applications. This antibody reacts with Human. This is a premium antibody that guarantees superior quality, high affinity, and strong signals with minimal background in Western blot applications.

    Purification

    Immunogen affinity purified.

    Immunogen

    E.coli-derived human CD82 recombinant protein (Position: A98-Y267). Human CD82 shares 69% and 67% amino acid (aa) sequences identity with mouse and rat CD82, respectively.

    Isotype

    IgG
  • Application Notes

    Immunohistochemistry (Paraffin-embedded Section), 2-5 μg/mL, Human
    Western blot, 0.1-0.5 μg/mL, Human

    Comment

    Antibody can be supported by chemiluminescence kit ABIN921124 in WB, supported by ABIN921231 in IHC(P).

    Restrictions

    For Research Use only
  • Format

    Lyophilized

    Reconstitution

    Add 0.2 mL of distilled water will yield a concentration of 500 μg/mL.

    Concentration

    500 μg/mL

    Buffer

    Each vial contains 5 mg BSA, 0.9 mg NaCl, 0.2 mg Na2HPO4, 0.05 mg Sodium azide.

    Preservative

    Sodium azide

    Precaution of Use

    This product contains Sodium azide: a POISONOUS AND HAZARDOUS SUBSTANCE which should be handled by trained staff only.

    Handling Advice

    Avoid repeated freezing and thawing.

    Storage

    4 °C,-20 °C

    Storage Comment

    Store at -20°C for one year from date of receipt. After reconstitution, at 4°C for one month.
    It can also be aliquotted and stored frozen at -20°C for six months. Avoid repeated freeze-thaw cycles.
  • Target

    CD82

    Alternative Name

    CD82

    Background

    Synonyms: CD82 antigen,C33 antigen,IA4,Inducible membrane protein R2,Metastasis suppressor Kangai-1,Suppressor of tumorigenicity 6 protein,Tetraspanin-27,Tspan-27,CD82,CD82,KAI1, SAR2, ST6, TSPAN27,

    Tissue Specificity: Lymphoid specific.

    Background: CD82 (Cluster of Differentiation 82), also named KAI1, is a protein that in humans encoded by the CD82 gene. The gene is mapped to 11p11.2. This metastasis suppressor gene product is a membrane glycoprotein that is a member of the transmembrane 4 superfamily. Expression of this gene has been shown to be downregulated in tumor progression of human cancers and can be activated by p53 through a consensus binding sequence in the promoter. The expression of CD82 protein appears to be correlated with lymph node metastasis in esophageal squamous cell carcinoma (ESCC). And the CD82 overexpression can suppress tumor invasiveness and metastatic potential by inducing MMP9 inactivation via upregulation of TIMP1.

    Sequence Similarities: Belongs to the tetraspanin (TM4SF) family.

    Molecular Weight

    30-36 kDa

    Gene ID

    3732

    UniProt

    P27701

    Pathways

    p53 Signaling
You are here:
Chat with us!