Phone:
+1 877 302 8632
Fax:
+1 888 205 9894 (Toll-free)
E-Mail:
orders@antibodies-online.com

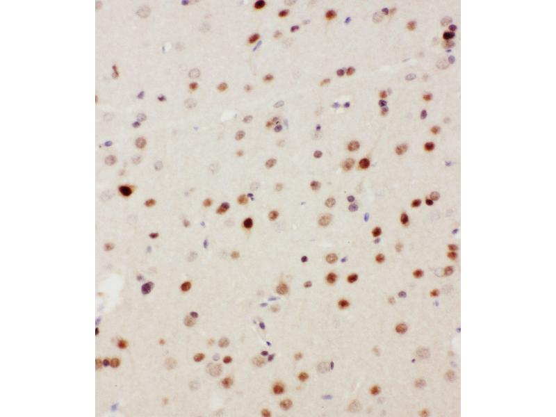
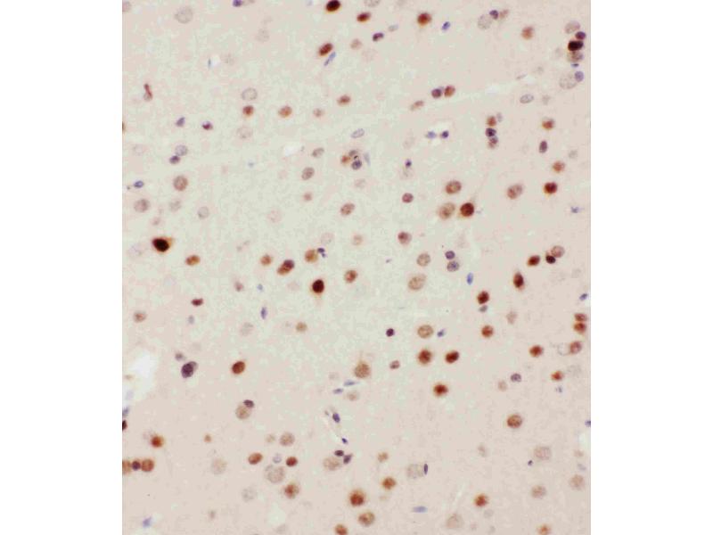
MAP3K3 antibody (N-Term)

This Rabbit Polyclonal antibody specifically detects MAP3K3 in WB and IHC. It exhibits reactivity toward Mouse and Rat.
Catalog No. ABIN3044008
$370.00
Plus shipping costs $50.00
100 μg
Shipping to: United States
Delivery in 4 to 7 Business Days

Quick Overview for MAP3K3 antibody (N-Term) (ABIN3044008)

Target

See all MAP3K3 Antibodies
MAP3K3 (Mitogen-Activated Protein Kinase Kinase Kinase 3 (MAP3K3))

Reactivity

  • 40
  • 36
  • 24
  • 1
  • 1
  • 1
  • 1
Mouse, Rat

Host

  • 46
  • 3
Rabbit

Clonality

  • 28
  • 21
Polyclonal

Conjugate

  • 28
  • 3
  • 2
  • 2
  • 2
  • 2
  • 2
  • 2
  • 1
  • 1
  • 1
  • 1
  • 1
  • 1
This MAP3K3 antibody is un-conjugated

Application

  • 39
  • 19
  • 16
  • 14
  • 13
  • 12
  • 10
  • 3
  • 1
  • 1
Western Blotting (WB), Immunohistochemistry (IHC)
  • Binding Specificity

    • 7
    • 4
    • 4
    • 3
    • 2
    • 2
    • 1
    • 1
    • 1
    • 1
    • 1
    AA 11-25, N-Term

    Purpose

    Anti-MEKK3/MAP3K3 Antibody

    Sequence

    MKDLVALQMS RRTRL

    Cross-Reactivity (Details)

    No cross-reactivity with other proteins

    Characteristics

    Anti-MEKK3/MAP3K3 Antibody (ABIN3044008). Tested in IHC, WB applications. This antibody reacts with Mouse, Rat. This is a premium antibody that guarantees superior quality, high affinity, and strong signals with minimal background in Western blot applications.

    Purification

    Immunogen affinity purified.

    Immunogen

    A synthetic peptide corresponding to a sequence at the N-terminus of mouse MEKK3, different from the related rat sequence by two amino acids.

    Isotype

    IgG
  • Application Notes

    Immunohistochemistry (Paraffin-embedded Section), 0.5-1 μg/mL, Rat, Mouse
    Western blot, 0.1-0.5 μg/mL, Mouse, Rat

    Comment

    Antibody can be supported by chemiluminescence kit ABIN921124 in WB, supported by ABIN921231 in IHC(P).

    Restrictions

    For Research Use only
  • Format

    Lyophilized

    Reconstitution

    Add 0.2 mL of distilled water will yield a concentration of 500 μg/mL.

    Concentration

    500 μg/mL

    Buffer

    Each vial contains 5 mg BSA, 0.9 mg NaCl, 0.2 mg Na2HPO4, 0.05 mg Thimerosal, 0.05 mg Sodium azide.

    Preservative

    Thimerosal (Merthiolate), Sodium azide

    Precaution of Use

    This product contains Thimerosal (Merthiolate) and Sodium azide: POISONOUS AND HAZARDOUS SUBSTANCES which should be handled by trained staff only.

    Handling Advice

    Avoid repeated freezing and thawing.

    Storage

    4 °C,-20 °C

    Storage Comment

    Store at -20°C for one year from date of receipt. After reconstitution, at 4°C for one month.
    It can also be aliquotted and stored frozen at -20°C for six months. Avoid repeated freeze-thaw cycles.

    Expiry Date

    12 months
  • Target

    MAP3K3 (Mitogen-Activated Protein Kinase Kinase Kinase 3 (MAP3K3))

    Alternative Name

    MAP3K3

    Background

    Synonyms: Mitogen-activated protein kinase kinase kinase 3,2.7.11.25,MAPK/ERK kinase kinase 3,MEK kinase 3,MEKK 3,Map3k3,Mekk3,

    Background: MAP3K3 (Mitogen-activated protein kinase kinase kinase 3), also known as MAP/ERK KINASE KINASE 3, MEKK3 or MAPKKK3, is an enzyme that in humans is encoded by the MAP3K3 gene. MAP3K3 is contiguously distal to LYK5 on chromosome 17 (Puffenberger et al., 2007). By yeast 2-hybrid analysis of a mouse T-cell cDNA library, Uhlik et al. (2003) showed that a C-terminal fragment of mouse Osm (CCM2) interacted with Mekk3, which activates p38 in response to sorbitol-induced hyperosmotic conditions. Mekk3 and Osm colocalized in the cytoplasmic compartment of cotransfected cells, and the Mekk3-Osm complex was recruited to Rac1 and cytoskeletal actin-containing membrane ruffles in response to sorbitol treatment. Protein interaction assays showed that Osm interacted ly with the Mekk3 substrate Mkk3 (MAP2K3), with actin, and with both GDP- and GTP-loaded Rac1. Uhlik et al. (2003) concluded that the RAC1-OSM-MEKK3-MKK3 complex is required for regulation of p38 activity in response to osmotic shock.

    Sequence Similarities: Belongs to the protein kinase superfamily. STE Ser/Thr protein kinase family. MAP kinase kinase kinase subfamily.

    Molecular Weight

    71 kDa

    UniProt

    Q61084

    Pathways

    MAPK Signaling
You are here:
Chat with us!