Phone:
+1 877 302 8632
Fax:
+1 888 205 9894 (Toll-free)
E-Mail:
orders@antibodies-online.com

UBA6 antibody

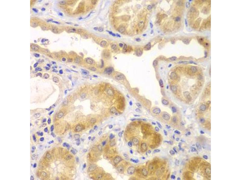
This Rabbit Polyclonal antibody specifically detects UBA6 in WB, IHC and IF/ICC. It exhibits reactivity toward Human, Mouse and Rat.
Catalog No. ABIN3033865
$980.86
Plus shipping costs $50.00
Shipping to: United States
Delivery in 10 to 16 Business Days

Quick Overview for UBA6 antibody (ABIN3033865)

Target

See all UBA6 Antibodies
UBA6 (Ubiquitin-Like Modifier Activating Enzyme 6 (UBA6))

Reactivity

  • 45
  • 9
  • 5
  • 2
  • 2
  • 2
  • 2
  • 2
  • 2
  • 1
  • 1
  • 1
  • 1
Human, Mouse, Rat

Host

  • 37
  • 8
Rabbit

Clonality

  • 41
  • 4
Polyclonal

Conjugate

  • 30
  • 3
  • 2
  • 2
  • 1
  • 1
  • 1
  • 1
  • 1
  • 1
  • 1
  • 1
This UBA6 antibody is un-conjugated

Application

  • 32
  • 20
  • 9
  • 5
  • 5
  • 3
  • 1
  • 1
  • 1
Western Blotting (WB), Immunohistochemistry (IHC), Immunofluorescence (fixed cells) (IF/ICC)
You are here:
Chat with us!