×
For best experience we recommend to activate Javascript in your browser.
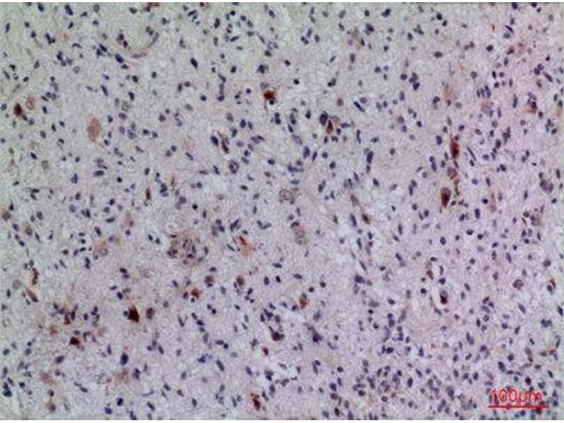
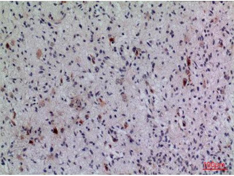
FGF5 antibody (C-Term)
The Rabbit Polyclonal anti-FGF5 antibody (ABIN3180997) specifically detects FGF5 in WB, ELISA and IHC (p).
The antibody is reactive with Human samples.
Catalog No. ABIN3180997
$402.79
Plus shipping costs $50.00
50 μL ABIN6285584
100 μL ABIN3180997
200 μL ABIN3178221
50 μL ABIN6285584
100 μL ABIN3180997
200 μL ABIN3178221
Delivery in 11 to 15 Business Days
Quick Overview for FGF5 antibody (C-Term) (ABIN3180997)
Target
See all FGF5 Antibodies
FGF5
(Fibroblast Growth Factor 5 (FGF5))
Reactivity
All reactivities for FGF5 antibodies
Human
Host
All hosts for FGF5 antibodies
Rabbit
Clonality
All clonalities for FGF5 antibodies
Polyclonal
Conjugate
All conjugates for FGF5 antibodies
This FGF5 antibody is un-conjugated
Application
All applications for FGF5 antibodies
Western Blotting (WB), ELISA, Immunohistochemistry (Paraffin-embedded Sections) (IHC (p))
Product Details anti-FGF5 Antibody
(hide)
Binding Specificity
All epitopes for FGF5 antibodies
C-Term
Specificity
FGF-5 Polyclonal Antibody detects endogenous levels of FGF-5 protein.
Characteristics
Rabbit Polyclonal to FGF-5.
Purification
The antibody was affinity-purified from rabbit antiserum by affinity-chromatography using epitope-specific immunogen.
Immunogen
Synthesized peptide derived from the C-terminal region of human FGF-5.
Isotype
IgG
Alternatives
(show)
Application Details
(hide)
Application Notes
WB 1:500-1:2000, IHC-P 1:100-300, ELISA 1:20000,
Restrictions
For Research Use only
Handling
(hide)
Format
Liquid
Concentration
1 mg/mL
Buffer
Liquid in PBS containing 50 % glycerol, 0.5 % BSA and 0.02 % sodium azide.
Preservative
Sodium azide
Precaution of Use
This product contains Sodium azide: a POISONOUS AND HAZARDOUS SUBSTANCE which should be handled by trained staff only.
Handling Advice
Avoid repeated freeze/thaw cycles.
Storage
-20 °C
Storage Comment
Store at -20°C.
Target Details for FGF5
(hide)
Target
FGF5
(Fibroblast Growth Factor 5 (FGF5))
Alternative Name
FGF-5
Molecular Weight
30 kDa
Gene ID
2250
UniProt
P12034
Pathways
RTK Signaling , Fc-epsilon Receptor Signaling Pathway , EGFR Signaling Pathway , Neurotrophin Signaling Pathway
Recently viewed
(hide)
You are here:
Homepage
anti-FGF5 antibody (C-Term) (ABIN3180997)
Chat with us , powered by LiveChat