LRP1 antibody
Quick Overview for LRP1 antibody (ABIN337392)
Target
See all LRP1 AntibodiesReactivity
Host
Clonality
Conjugate
Application
Clone
-
-
Specificity
- Recognises the 85 kDa cleaved fragment of Low Density LRP (extracellular domain).
-
Purification
- Protein A purified
-
Immunogen
-
Full length native protein (purified) (Human).
Type of Immunogen: Native protein -
Isotype
- IgG2b
-
-
-
-
Application Notes
-
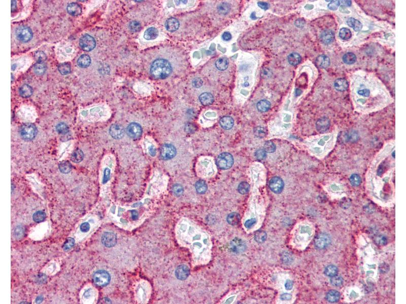
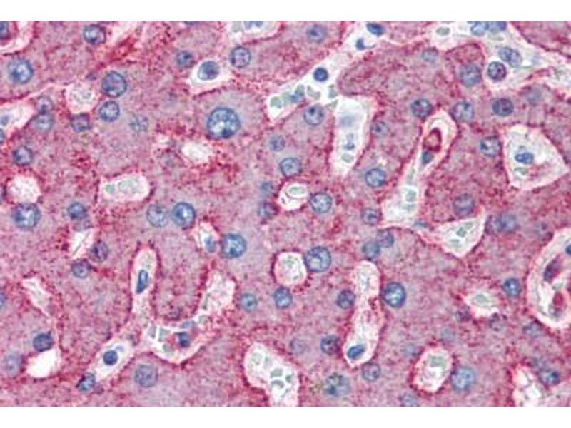
Approved: Flo, IHC, IHC-P (10 μg/mL), WB
Usage: Immunohistochemistry: This antibody was validated for use in immunohistochemistry on a panel of 21 formalin-fixed, paraffin-embedded (FFPE) human tissues after heat induced antigen retrieval in pH 6.0 citrate buffer. After incubation with the primary antibody, slides were incubated with biotinylated secondary antibody, followed by alkaline phosphatase-streptavidin and chromogen. The stained slides were evaluated by a pathologist to confirm staining specificity. The optimal working concentration for this antibody was determined to be 10 μg/mL. -
Comment
-
Target Species of Antibody: Human
-
Restrictions
- For Research Use only
-
-
-
Format
- Liquid
-
Concentration
- Lot specific
-
Buffer
- 0.05 M sodium phosphate, 0.1 M sodium chloride, 1 mM EDTA, pH 6.6.
-
Handling Advice
- Avoid repeated freezing and thawing.
-
Storage
- 4 °C,-20 °C
-
Storage Comment
- 4°C or -20°C, Avoid freeze-thaw cycles.
-
-
- LRP1 (Low Density Lipoprotein Receptor-Related Protein 1 (LRP1))
-
Alternative Name
- LRP1 / CD91
-
Background
-
Name/Gene ID: LRP1
Synonyms: LRP1, Apolipoprotein E receptor, CD91 antigen, CD91, A2MR, IGFBP3R, Alpha-2-macroglobulin receptor, TGFBR5, Type V tgf-beta receptor, APOER, APR, LRP, LRP-1 -
Gene ID
- 4035
-
UniProt
- Q07954
-
Pathways
- Smooth Muscle Cell Migration, Platelet-derived growth Factor Receptor Signaling
Target
-