Phone:
+1 877 302 8632
Fax:
+1 888 205 9894 (Toll-free)
E-Mail:
orders@antibodies-online.com

HSF1 antibody

This Rabbit Polyclonal antibody specifically detects HSF1 in WB, IHC and IHC (p). It exhibits reactivity toward Human, Mouse, Rat, Monkey and Rabbit.
Catalog No. ABIN337399
$599.50
Plus shipping costs $50.00
50 μg
Shipping to: United States
Delivery in 11 to 15 Business Days

Quick Overview for HSF1 antibody (ABIN337399)

Target

See all HSF1 Antibodies
HSF1 (Heat Shock Factor Protein 1 (HSF1))

Reactivity

  • 177
  • 92
  • 31
  • 15
  • 7
  • 7
  • 6
  • 6
  • 6
  • 4
  • 4
  • 1
  • 1
  • 1
Human, Mouse, Rat, Monkey, Rabbit

Host

  • 166
  • 38
  • 6
  • 1
Rabbit

Clonality

  • 119
  • 91
Polyclonal

Conjugate

  • 108
  • 13
  • 10
  • 8
  • 7
  • 5
  • 5
  • 5
  • 5
  • 5
  • 5
  • 5
  • 5
  • 4
  • 4
  • 2
  • 2
  • 2
  • 1
  • 1
  • 1
  • 1
  • 1
  • 1
  • 1
  • 1
  • 1
  • 1
  • 1
This HSF1 antibody is un-conjugated

Application

  • 182
  • 114
  • 96
  • 70
  • 63
  • 61
  • 34
  • 23
  • 19
  • 16
  • 15
  • 5
  • 3
  • 3
  • 2
  • 2
  • 1
  • 1
Western Blotting (WB), Immunohistochemistry (IHC), Immunohistochemistry (Paraffin-embedded Sections) (IHC (p))
  • Specificity

    Recognizes human HSF-1 at ~85kD protein in unstressed cells and an ~95kD protein in heat shocked cells, corresponding to the molecular masses of the inactive and activated forms respectively of HSF-1. Species cross-reactivity: mouse, rat, monkey, rabbit.

    Purification

    Protein A purified

    Immunogen

    Recombinant human HSF-1 expressed in E. coli.

    Type of Immunogen: Recombinant protein

    Isotype

    IgG
  • Application Notes

    Approved: IHC, IHC-P (5 μg/mL), WB (1:500)

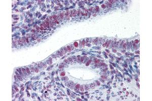
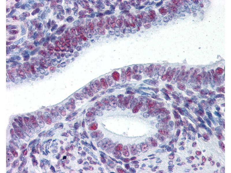
    Usage: Immunohistochemistry: This antibody was validated for use in immunohistochemistry on a panel of 21 formalin-fixed, paraffin-embedded (FFPE) human tissues after heat induced antigen retrieval in  pH 6.0 citrate buffer. After incubation with the primary antibody, slides were incubated with biotinylated secondary antibody, followed by alkaline phosphatase-streptavidin and chromogen. The stained slides were evaluated by a pathologist to confirm staining specificity. The optimal working concentration for this antibody was determined to be 5 μg/mL. Western Blot: Positive control: Recombinant Human HSF-1 Protein.

    Comment

    Target Species of Antibody: Human

    Restrictions

    For Research Use only
  • Format

    Liquid

    Concentration

    Lot specific

    Buffer

    PBS, 0.09 % sodium azide, 50 % glycerol.

    Preservative

    Sodium azide

    Precaution of Use

    This product contains Sodium azide: a POISONOUS AND HAZARDOUS SUBSTANCE which should be handled by trained staff only.

    Handling Advice

    Avoid repeated freezing and thawing.

    Storage

    4 °C,-20 °C

    Storage Comment

    4°C or -20°C, Avoid freeze-thaw cycles.
  • Target

    HSF1 (Heat Shock Factor Protein 1 (HSF1))

    Alternative Name

    HSF1

    Background

    Name/Gene ID: HSF1

    Synonyms: HSF1, HSTF 1, Heat shock factor protein 1, HSF 1, HSTF1

    Gene ID

    3297

    UniProt

    Q00613
You are here:
Chat with us!