Phone:
+1 877 302 8632
Fax:
+1 888 205 9894 (Toll-free)
E-Mail:
orders@antibodies-online.com

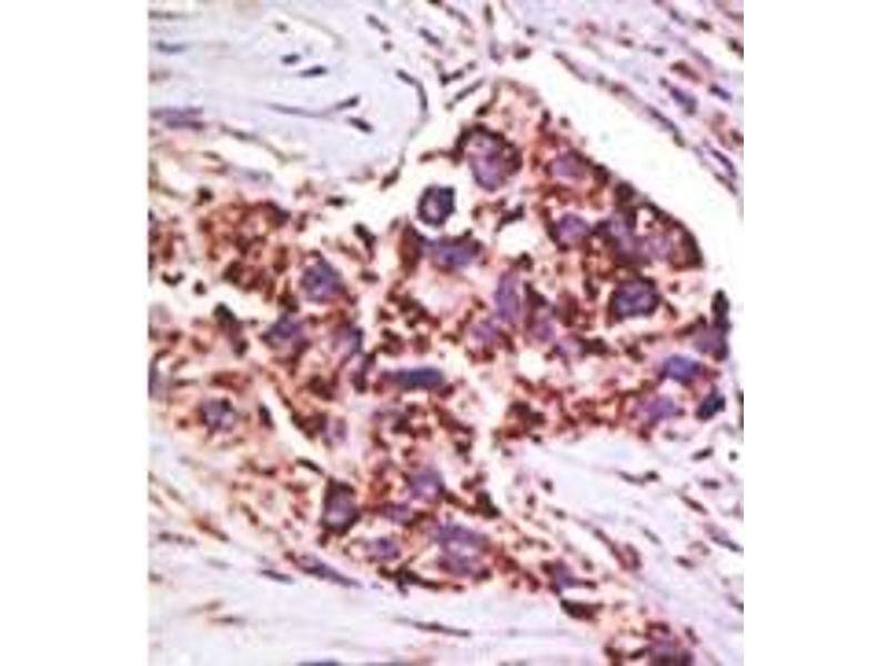
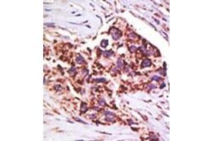
USP13 antibody (Middle Region)

The Rabbit Polyclonal anti-USP13 antibody is suitable to detect USP13 in samples from Human and Mouse. It has been validated for WB, IHC (p) and EIA.
Catalog No. ABIN357545
$768.00
Plus shipping costs $50.00
0.4 mL
Shipping to: United States
Delivery in 1 to 2 Business Days

Quick Overview for USP13 antibody (Middle Region) (ABIN357545)

Target

See all USP13 Antibodies
USP13 (Ubiquitin Specific Peptidase 13 (Isopeptidase T-3) (USP13))

Reactivity

  • 64
  • 42
  • 6
  • 5
  • 4
  • 3
  • 3
  • 3
  • 3
  • 3
  • 2
  • 1
Human, Mouse

Host

  • 64
  • 4
Rabbit

Clonality

  • 45
  • 23
Polyclonal

Conjugate

  • 35
  • 5
  • 3
  • 3
  • 3
  • 3
  • 3
  • 3
  • 2
  • 2
  • 2
  • 2
  • 1
  • 1
This USP13 antibody is un-conjugated

Application

  • 52
  • 30
  • 24
  • 15
  • 12
  • 8
  • 4
  • 3
  • 1
Western Blotting (WB), Immunohistochemistry (Paraffin-embedded Sections) (IHC (p)), Enzyme Immunoassay (EIA)
  • Binding Specificity

    • 7
    • 7
    • 5
    • 4
    • 2
    • 2
    • 1
    • 1
    • 1
    • 1
    • 1
    • 1
    • 1
    Middle Region

    Specificity

    This antibody is specific to USP13 (Center).

    Purification

    Protein G Chromatography, eluted with high and low pH buffers and neutralized immediately, followed by dialysis against PBS.

    Immunogen

    This antibody is generated from rabbits immunized with a KLH conjugated synthetic peptide selected from the center region of human USP13.

    Isotype

    Ig Fraction
  • Application Notes

    ELISA: 1/1,000. Western Blot: 1/100-1/500. Immunohistochemistry: 1/50-1/100.
    Other applications not tested.
    Optimal dilutions are dependent on conditions and should be determined by the user.

    Restrictions

    For Research Use only
  • Format

    Liquid

    Concentration

    0.25 mg/mL

    Buffer

    PBS with 0.09 % (W/V) Sodium Azide as preservative.

    Preservative

    Sodium azide

    Precaution of Use

    This product contains sodium azide: a POISONOUS AND HAZARDOUS SUBSTANCE which should be handled by trained staff only.

    Handling Advice

    Avoid repeated freezing and thawing.

    Storage

    4 °C/-20 °C

    Storage Comment

    Store the antibody undiluted at 2-8 °C for one month or (in aliquots) at-20 °C for longer.
  • Target

    USP13 (Ubiquitin Specific Peptidase 13 (Isopeptidase T-3) (USP13))

    Alternative Name

    USP13

    Background

    Modification of target proteins by ubiquitin participates in a wide array of biological functions. Proteins destined for degradation or processing via the 26 S proteasome are coupled to multiple copies of ubiquitin. However, attachment of ubiquitin or ubiquitin-related molecules may also result in changes in subcellular distribution or modification of protein activity. An additional level of ubiquitin regulation, deubiquitination, is catalyzed by proteases called deubiquitinating enzymes, which fall into four distinct families. Ubiquitin C-terminal hydrolases, ubiquitin-specific processing proteases (USPs),1 OTU-domain ubiquitin-aldehyde-binding proteins, and Jab1/Pad1/MPN-domain-containing metallo-enzymes. Among these four families, USPs represent the most widespread and represented deubiquitinating enzymes across evolution. USPs tend to release ubiquitin from a conjugated protein. They display similar catalytic domains containing conserved Cys and His boxes but divergent N-terminal and occasionally C-terminal extensions, which are thought to function in substrate recognition, subcellular localization, and protein-protein interactions.Synonyms: Deubiquitinating enzyme 13, ISOT-3, ISOT3, Isopeptidase T-3, Ubiquitin carboxyl-terminal hydrolase 13, Ubiquitin thioesterase 13, Ubiquitin-specific-processing protease 13

    Molecular Weight

    97299 Da

    Gene ID

    8975, 5874

    UniProt

    Q92995

    Pathways

    SARS-CoV-2 Protein Interactome
You are here:
Chat with us!