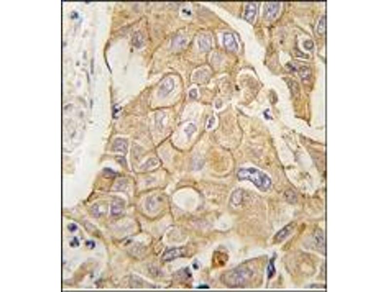
ELISA: 1/1,000. Western Blot: 1/50-1/100. Immunohistochemistry: 1/10-1/50. Other applications not tested. Optimal dilutions are dependent on conditions and should be determined by the user.
Restrictions
For Research Use only
Format
Liquid
Concentration
0.25 mg/mL
Buffer
PBS with 0.09 % (W/V) Sodium Azide as preservative.
Preservative
Sodium azide
Precaution of Use
This product contains sodium azide: a POISONOUS AND HAZARDOUS SUBSTANCE which should be handled by trained staff only.
Handling Advice
Avoid repeated freezing and thawing.
Storage
4 °C/-20 °C
Storage Comment
Store the antibody undiluted at 2-8 °C for one month or (in aliquots) at-20 °C for longer.
Target
ADCY2
(Adenylate Cyclase 2 (Brain) (ADCY2))
Alternative Name
Adenylate Cyclase Type 2
Background
ADCY2 is a member of the family of adenylate cyclases, which are membrane-associated enzymes that catalyze the formation of the secondary messenger cyclic adenosine monophosphate(cAMP). This enzyme is insensitive to Ca(2+)/calmodulin, and is stimulated by the G protein beta and gamma subunit complex.Synonyms: ADCY2, ATP pyrophosphate-lyase 2, Adenylate cyclase type II, Adenylyl cyclase 2, KIAA1060