Phone:
+1 877 302 8632
Fax:
+1 888 205 9894 (Toll-free)
E-Mail:
orders@antibodies-online.com

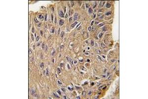
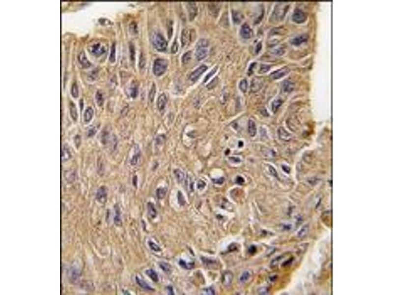
ANTXR1 antibody (Tyr382)

This Rabbit Polyclonal antibody specifically detects ANTXR1 in WB, IHC (p) and EIA. It exhibits reactivity toward Human.
Catalog No. ABIN360040
$846.00
Plus shipping costs $50.00
0.4 mL
Shipping to: United States
Delivery in 1 to 2 Business Days

Quick Overview for ANTXR1 antibody (Tyr382) (ABIN360040)

Target

See all ANTXR1 Antibodies
ANTXR1 (anthrax Toxin Receptor 1 (ANTXR1))

Reactivity

  • 68
  • 29
  • 13
  • 3
  • 3
  • 2
  • 2
  • 2
  • 2
  • 1
  • 1
  • 1
Human

Host

  • 61
  • 4
  • 3
Rabbit

Clonality

  • 64
  • 4
Polyclonal

Conjugate

  • 29
  • 4
  • 4
  • 4
  • 4
  • 3
  • 1
  • 1
  • 1
  • 1
  • 1
  • 1
  • 1
  • 1
  • 1
  • 1
  • 1
  • 1
  • 1
  • 1
  • 1
  • 1
  • 1
  • 1
  • 1
  • 1
This ANTXR1 antibody is un-conjugated

Application

  • 42
  • 30
  • 14
  • 13
  • 13
  • 12
  • 6
  • 4
  • 3
  • 3
  • 3
Western Blotting (WB), Immunohistochemistry (Paraffin-embedded Sections) (IHC (p)), Enzyme Immunoassay (EIA)
  • Binding Specificity

    • 15
    • 8
    • 8
    • 7
    • 3
    • 2
    • 2
    • 1
    • 1
    • 1
    • 1
    • 1
    • 1
    • 1
    • 1
    • 1
    • 1
    AA 365-394, Tyr382

    Specificity

    This antibody recognizesANTXR1.

    Purification

    Affinity Chromatography on Protein A

    Immunogen

    KLH conjugated synthetic peptide between 365~394 amino acids surrounding Tyr382 of Human ANTXR1.

    Isotype

    Ig Fraction
  • Application Notes

    ELISA: 1/1,000. Western blotting: 1/50-1/100. Immunohistochemistry: 1/10-1/50.
    Other applications not tested.
    Optimal dilutions are dependent on conditions and should be determined by the user.

    Restrictions

    For Research Use only
  • Format

    Liquid

    Concentration

    0.25 mg/mL

    Buffer

    PBS with 0.09 % (W/V) Sodium Azide

    Preservative

    Sodium azide

    Precaution of Use

    This product contains sodium azide: a POISONOUS AND HAZARDOUS SUBSTANCE which should be handled by trained staff only.

    Handling Advice

    Avoid repeated freezing and thawing.

    Storage

    4 °C/-20 °C

    Storage Comment

    Store the antibody undiluted at 2-8 °C for one month or (in aliquots) at-20 °C for longer.
  • Target

    ANTXR1 (anthrax Toxin Receptor 1 (ANTXR1))

    Alternative Name

    Anthrax Toxin Receptor 1

    Background

    ANTXR1 is a type I transmembrane protein and is a tumor-specific endothelial marker that has been implicated in colorectal cancer. This protein has been shown to also be a docking protein or receptor for Bacillus anthracis toxin, the causative agent of the disease, anthrax. The binding of the protective antigen (PA) component, of the tripartite anthrax toxin, to this receptor protein mediates delivery of toxin components to the cytosol of cells. Once inside the cell, the other two components of anthrax toxin, edema factor (EF) and lethal factor (LF) disrupt normal cellular processes.Synonyms: ANTXR1, ATR, TEM8, Tumor endothelial marker 8

    Gene ID

    84168, 9606

    UniProt

    Q9H6X2
You are here:
Chat with us!