Phone:
+1 877 302 8632
Fax:
+1 888 205 9894 (Toll-free)
E-Mail:
orders@antibodies-online.com

Cytokeratin 18 antibody (N-Term) (Biotin)

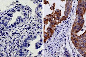
This Mouse Monoclonal antibody specifically detects Cytokeratin 18 in ELISA.
Catalog No. ABIN376024
$378.00
Plus shipping costs $50.00
0.1 mg
Shipping to: United States
Delivery in 3 to 5 Business Days

Quick Overview for Cytokeratin 18 antibody (N-Term) (Biotin) (ABIN376024)

Target

See all Cytokeratin 18 (KRT18) Antibodies
Cytokeratin 18 (KRT18) (Keratin 18 (KRT18))

Reactivity

Please inquire

Host

  • 197
  • 167
  • 3
  • 1
  • 1
  • 1
Mouse

Clonality

  • 226
  • 141
  • 3
Monoclonal

Conjugate

  • 181
  • 31
  • 22
  • 10
  • 6
  • 6
  • 6
  • 6
  • 6
  • 6
  • 5
  • 5
  • 5
  • 5
  • 5
  • 5
  • 5
  • 4
  • 4
  • 4
  • 4
  • 4
  • 4
  • 4
  • 4
  • 4
  • 4
  • 4
  • 2
  • 2
  • 2
  • 1
  • 1
  • 1
  • 1
  • 1
  • 1
This Cytokeratin 18 antibody is conjugated to Biotin

Application

  • 309
  • 193
  • 126
  • 124
  • 78
  • 78
  • 60
  • 54
  • 47
  • 43
  • 33
  • 31
  • 13
  • 8
  • 7
  • 6
  • 5
  • 4
  • 2
  • 1
  • 1
ELISA

Clone

SB38b
  • Binding Specificity

    • 26
    • 16
    • 15
    • 13
    • 13
    • 13
    • 8
    • 6
    • 6
    • 5
    • 4
    • 2
    • 2
    • 2
    • 2
    • 2
    • 2
    • 2
    • 2
    • 2
    • 2
    • 2
    • 1
    • 1
    • 1
    • 1
    • 1
    • 1
    • 1
    • 1
    • 1
    • 1
    • 1
    • 1
    • 1
    • 1
    • 1
    • 1
    • 1
    • 1
    • 1
    • 1
    • 1
    N-Term

    Specificity

    Cytokeratin 18

    Characteristics

    Mouse Anti-Cytokeratin 18-BIOT

    Immunogen

    Recombinant N-terminal cytokeratin 18

    Isotype

    IgG2b
  • Application Notes

    • Applications: ELISA - Quality tested FLISA - Quality tested IHC-PS , ICC , FC , WB
    • Working Dilutions: ELISA Purified (UNLB) antibody ≤ 1 g/mL HRP conjugate 1:500 - 1:1,000 BIOT conjugate 1:10,000 - 1:20,000 FLISA FITC conjugate 1:200 - 1:400

    Sample Volume

    1 mL

    Restrictions

    For Research Use only
  • Concentration

    0.5 mg/mL

    Buffer

    0.1 mg in 0.2 mL of PBS/Sodium azide

    Preservative

    Sodium azide

    Precaution of Use

    This product contains Sodium azide: a POISONOUS AND HAZARDOUS SUBSTANCE which should be handled by trained staff only.

    Handling Advice

    Protect conjugated products from light.
    Each reagent is stable for the period shown on the bottle label if stored as directed.

    Storage

    4 °C

    Storage Comment

    Store at 2-8°C
  • Target

    Cytokeratin 18 (KRT18) (Keratin 18 (KRT18))

    Alternative Name

    Cytokeratin 18

    Pathways

    Apoptosis, Caspase Cascade in Apoptosis
You are here:
Chat with us!