SOD2 antibody
Quick Overview for SOD2 antibody (ABIN396955)
Target
See all SOD2 AntibodiesReactivity
Host
Clonality
Conjugate
Application
-
-
Purification
- Purified
-
Immunogen
-
Recombinant human SOD2 purified from E. coli.
Type of Immunogen: Recombinant protein -
Isotype
- IgG1 kappa
-
-
-
-
Application Notes
-
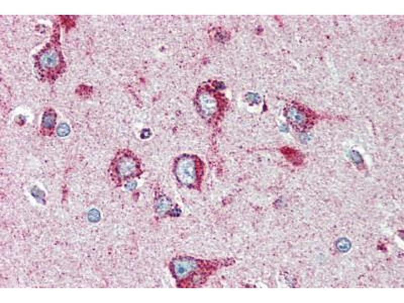
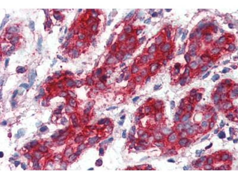
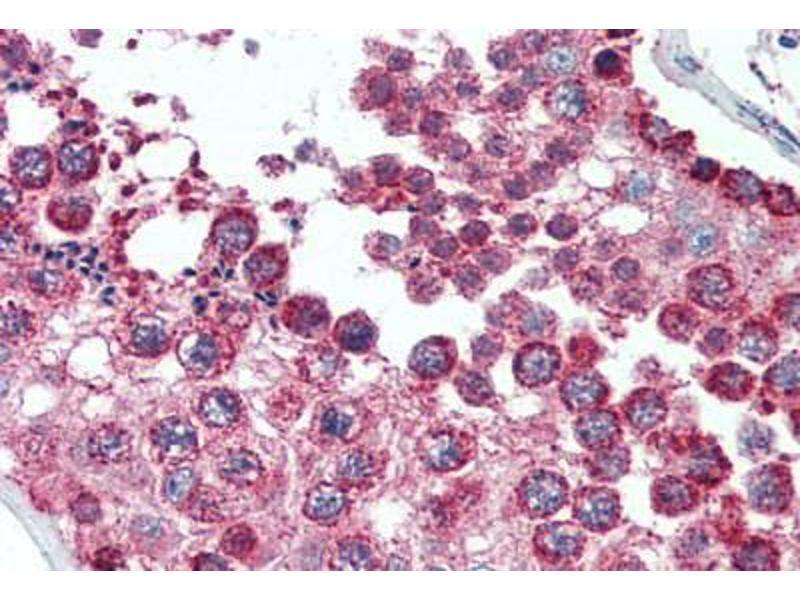
Approved: ELISA, IHC, IHC-P (1:50), WB (1:2000)
Usage: Immunohistochemistry: This antibody was validated for use in immunohistochemistry on a panel of 21 formalin-fixed, paraffin-embedded (FFPE) human tissues after heat induced antigen retrieval in pH 6.0 citrate buffer. After incubation with the primary antibody, slides were incubated with biotinylated secondary antibody, followed by alkaline phosphatase-streptavidin and chromogen. The stained slides were evaluated by a pathologist to confirm staining specificity. The optimal working concentration for this antibody was determined to be 1:50. -
Comment
-
Target Species of Antibody: Human
-
Restrictions
- For Research Use only
-
-
-
Format
- Liquid
-
Concentration
- Lot specific
-
Buffer
- HEPES with 0.15M NaCl, 0.01 % BSA, 0.03 % sodium azide, and 50 % glycerol
-
Preservative
- Sodium azide
-
Precaution of Use
- This product contains Sodium azide: a POISONOUS AND HAZARDOUS SUBSTANCE which should be handled by trained staff only.
-
Storage
- -20 °C
-
Storage Comment
- Store at -20°C.
-
-
- SOD2 (Superoxide Dismutase 2, Mitochondrial (SOD2))
-
Alternative Name
- MNSOD / SOD2
-
Background
-
Name/Gene ID: SOD2
Synonyms: SOD2, IPOB, MVCD6, Indophenoloxidase B, Mn superoxide dismutase, MNSOD, Mangano-superoxide dismutase -
Gene ID
- 6648
-
UniProt
- P04179
-
Pathways
- Sensory Perception of Sound, Transition Metal Ion Homeostasis, Negative Regulation of intrinsic apoptotic Signaling
Target
-