Phone:
+1 877 302 8632
Fax:
+1 888 205 9894 (Toll-free)
E-Mail:
orders@antibodies-online.com

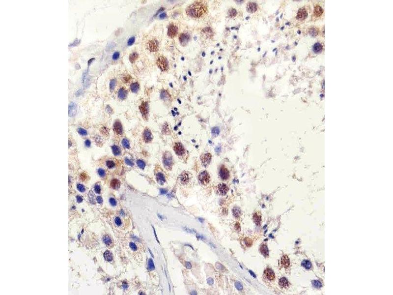
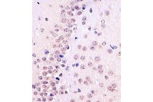
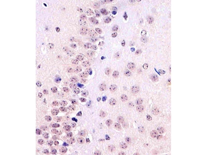
TBP antibody

This Mouse Monoclonal antibody specifically detects TBP in WB, IHC (p) and IF (cc). It exhibits reactivity toward Human, Mouse, Rat and Cynomolgus.
Catalog No. ABIN4914538
$453.85
Plus shipping costs $50.00
100 μL
Shipping to: United States
Delivery in 8 to 12 Business Days

Quick Overview for TBP antibody (ABIN4914538)

Target

See all TBP Antibodies
TBP (TATA Box Binding Protein (TBP))

Reactivity

  • 86
  • 48
  • 46
  • 6
  • 6
  • 5
  • 5
  • 5
  • 4
  • 4
  • 3
  • 3
  • 3
  • 2
  • 2
  • 1
Human, Mouse, Rat, Cynomolgus

Host

  • 62
  • 25
  • 2
Mouse

Clonality

  • 61
  • 28
Monoclonal

Conjugate

  • 57
  • 3
  • 3
  • 3
  • 2
  • 2
  • 2
  • 2
  • 2
  • 2
  • 1
  • 1
  • 1
  • 1
  • 1
  • 1
  • 1
  • 1
  • 1
  • 1
  • 1
This TBP antibody is un-conjugated

Application

  • 69
  • 28
  • 17
  • 14
  • 13
  • 13
  • 11
  • 11
  • 10
  • 8
  • 4
  • 2
  • 2
  • 1
  • 1
  • 1
  • 1
  • 1
Western Blotting (WB), Immunohistochemistry (Paraffin-embedded Sections) (IHC (p)), Immunofluorescence (Cultured Cells) (IF (cc))

Clone

8C4
  • Cross-Reactivity

    Human, Mouse, Rat

    Cross-Reactivity (Details)

    Cynomolgus Monkey

    Purification

    Purified monoclonal antibody supplied in PBS with 0.09% (W/V) sodium azide. This antibody is purified through a protein G column, eluted with high and low pH buffers and neutralized immediately, followed by dialysis against PBS.

    Immunogen

    Purified His-tagged TBP protein was used to produced this monoclonal antibody.

    Isotype

    IgG1
  • Application Notes

    WB 1:300-5000
    IHC-P 1:200-400
    IF(ICC) 1:50-200

    Restrictions

    For Research Use only
  • Format

    Liquid

    Concentration

    0.5 μg/μL

    Buffer

    0.01M TBS( pH 7.4) with 1 % BSA, 0.02 % Proclin300 and 50 % Glycerol.

    Preservative

    ProClin

    Precaution of Use

    This product contains ProClin: a POISONOUS AND HAZARDOUS SUBSTANCE, which should be handled by trained staff only.

    Storage

    -20 °C

    Storage Comment

    Store at -20°C for 12 months.

    Expiry Date

    12 months
  • Target

    TBP (TATA Box Binding Protein (TBP))

    Alternative Name

    TBP

    Background

    Synonyms: HDL4, GTF2D, SCA17, TFIID, GTF2D1, TATA-box-binding protein, TATA sequence-binding protein, TATA-binding factor, TATA-box factor, Transcription initiation factor TFIID TBP subunit, TBP, TF2D

    Background: General transcription factor that functions at the core of the DNA-binding multiprotein factor TFIID. Binding of TFIID to the TATA box is the initial transcriptional step of the pre-initiation complex (PIC), playing a role in the activation of eukaryotic genes transcribed by RNA polymerase II. Component of the transcription factor SL1/TIF-IB complex, which is involved in the assembly of the PIC (preinitiation complex) during RNA polymerase I-dependent transcription. The rate of PIC formation probably is primarily dependent on the rate of association of SL1 with the rDNA promoter. SL1 is involved in stabilization of nucleolar transcription factor 1/UBTF on rDNA.

    Gene ID

    6908

    UniProt

    P20226

    Pathways

    WNT Signaling
You are here:
Chat with us!