Phone:
+1 877 302 8632
Fax:
+1 888 205 9894 (Toll-free)
E-Mail:
orders@antibodies-online.com

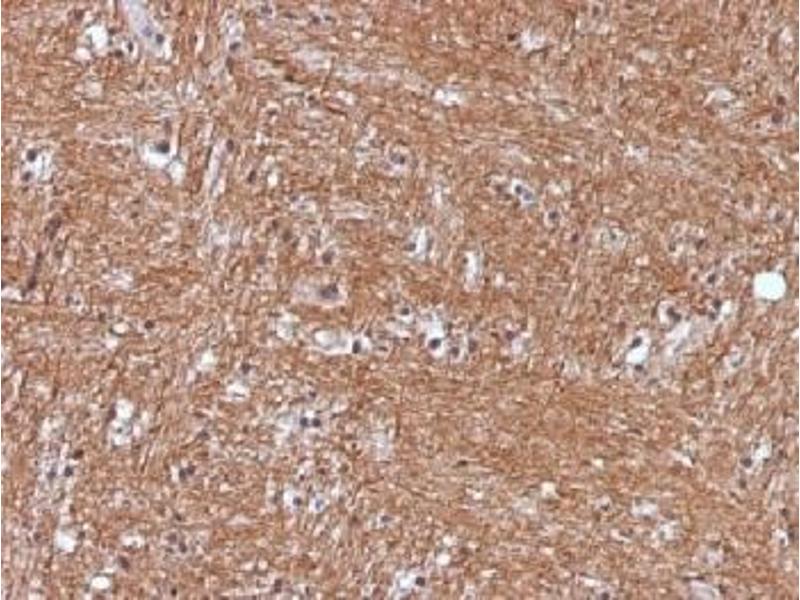
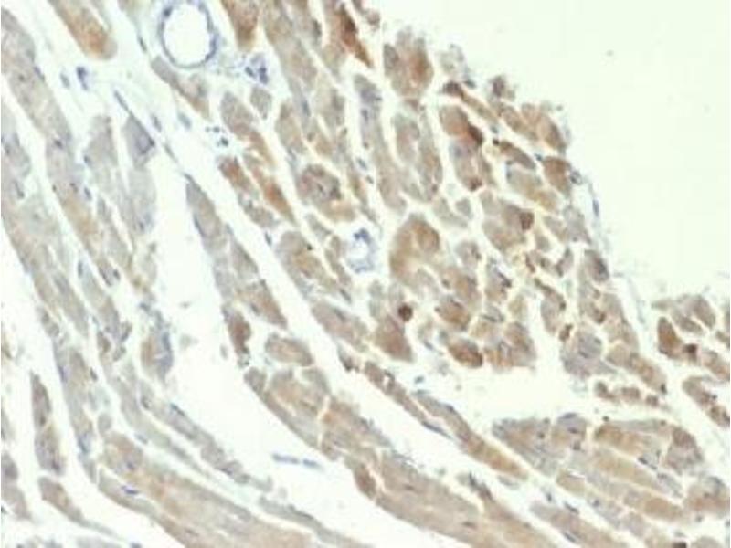
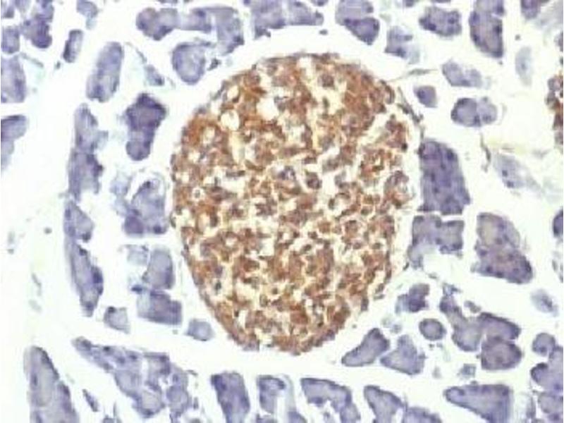
ENO2/NSE antibody (AA 416-433)

The Mouse Monoclonal anti-ENO2/NSE antibody is suitable to detect ENO2/NSE in samples from Human, Mouse and Rat. It has been validated for WB, IF, FACS and IHC (p).
Catalog No. ABIN4949836
$640.46
Plus shipping costs $50.00
100 μg
Shipping to: United States
Delivery in 2 to 4 Business Days

Quick Overview for ENO2/NSE antibody (AA 416-433) (ABIN4949836)

Target

See all ENO2/NSE (ENO2) Antibodies
ENO2/NSE (ENO2) (Enolase 2 (Gamma, Neuronal) (ENO2))

Reactivity

  • 216
  • 98
  • 81
  • 6
  • 5
  • 5
  • 5
  • 5
  • 3
  • 3
  • 3
  • 3
  • 2
  • 2
  • 2
  • 2
  • 1
Human, Mouse, Rat

Host

  • 122
  • 106
  • 5
  • 1
  • 1
Mouse

Clonality

  • 119
  • 116
Monoclonal

Conjugate

  • 116
  • 21
  • 17
  • 9
  • 6
  • 6
  • 3
  • 3
  • 3
  • 3
  • 3
  • 3
  • 2
  • 2
  • 2
  • 2
  • 2
  • 2
  • 2
  • 2
  • 2
  • 2
  • 2
  • 2
  • 2
  • 2
  • 2
  • 2
  • 2
  • 2
  • 2
  • 2
  • 1
  • 1
This ENO2/NSE antibody is un-conjugated

Application

  • 172
  • 107
  • 69
  • 43
  • 35
  • 33
  • 26
  • 26
  • 17
  • 13
  • 11
  • 9
  • 8
  • 6
  • 4
  • 3
  • 3
  • 2
  • 2
  • 1
  • 1
  • 1
  • 1
  • 1
Western Blotting (WB), Immunofluorescence (IF), Flow Cytometry (FACS), Immunohistochemistry (Paraffin-embedded Sections) (IHC (p))

Clone

ENO2-1375
  • Binding Specificity

    • 31
    • 26
    • 9
    • 9
    • 9
    • 7
    • 7
    • 6
    • 2
    • 2
    • 2
    • 2
    • 2
    • 2
    • 1
    • 1
    • 1
    • 1
    • 1
    • 1
    • 1
    • 1
    • 1
    • 1
    • 1
    • 1
    AA 416-433

    Purification

    Protein G affinity chromatography

    Immunogen

    Amino acids 416-433 of human Neuron Specific Enolase were used as the immunogen for this NSE antibody.

    Isotype

    IgG2b
  • Application Notes

    The concentration stated for each application is a general starting point. Variations in protocols, secondaries and substrates may require the NSE antibody to be titered up or down for optimal performance.\. Western blot: 0.5-1 μg/mL,FACS: 0.5-1 μg/million cells in 0.1ml,IF: 1-2 μg/mL,IHC (FFPE): 0.1-0.2 μg/mL for 30 min at RT

    Restrictions

    For Research Use only
  • Concentration

    1 mg/mL

    Buffer

    1 mg/mL in 1X PBS, BSA free, sodium azide free

    Preservative

    Azide free

    Storage

    4 °C,-20 °C

    Storage Comment

    Store the NSE antibody at 2-8°C (with azide) or aliquot and store at -20°C or colder (without azide).
  • Target

    ENO2/NSE (ENO2) (Enolase 2 (Gamma, Neuronal) (ENO2))

    Alternative Name

    NSE / Neuron Specific Enolase

    Background

    Recognizes a protein of about 50  kDa, which is identified as gamma-Enolase/Neuron Specific Enolase/Enolase 2. Three isoenzymes of enolases are identified, alpha, beta and gamma. Alpha-isoform is expressed in most tissues, whereas beta-form is expressed predominantly in muscle tissue and gamma-enolase is found only in nervous tissue. These isoforms exist as both homodimers and heterodimers, and they play a role in converting phosphoglyceric acid to phosphenolpyruvic acid in the glycolytic pathway. NSE is a useful marker to identify peripheral nerves and tumors of neuro-endocrine origins, such as pheochromocytomas. It it be usually employed in combination with other markers such as Synaptophysin, Chromogranin A, and Neurofilament.

    Gene ID

    2026
You are here:
Chat with us!