Phone:
+1 877 302 8632
Fax:
+1 888 205 9894 (Toll-free)
E-Mail:
orders@antibodies-online.com

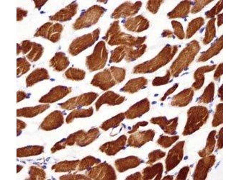
Actin antibody (AA 346-375)

The Rabbit Polyclonal anti-Actin antibody (ABIN3029835) specifically detects Actin in WB, ELISA, IHC, IF and FACS. The antibody is reactive with Human samples.
Catalog No. ABIN3029835
$612.54
Plus shipping costs $50.00
Shipping to: United States
Delivery in 2 to 4 Business Days

Quick Overview for Actin antibody (AA 346-375) (ABIN3029835)

Target

See all Actin (ACTA1) Antibodies
Actin (ACTA1) (Actin, alpha 1, Skeletal Muscle (ACTA1))

Reactivity

  • 112
  • 62
  • 56
  • 15
  • 10
  • 10
  • 9
  • 8
  • 7
  • 7
  • 5
  • 5
  • 5
  • 4
  • 3
  • 2
  • 2
  • 1
  • 1
  • 1
  • 1
  • 1
  • 1
  • 1
Human

Host

  • 94
  • 36
Rabbit

Clonality

  • 72
  • 55
  • 1
Polyclonal

Conjugate

  • 75
  • 12
  • 12
  • 10
  • 4
  • 3
  • 2
  • 2
  • 2
  • 2
  • 2
  • 2
  • 1
  • 1
This Actin antibody is un-conjugated

Application

  • 104
  • 62
  • 60
  • 33
  • 28
  • 21
  • 13
  • 12
  • 6
  • 2
  • 1
Western Blotting (WB), ELISA, Immunohistochemistry (IHC), Immunofluorescence (IF), Flow Cytometry (FACS)
  • Binding Specificity

    • 12
    • 9
    • 7
    • 6
    • 6
    • 5
    • 4
    • 1
    • 1
    • 1
    • 1
    • 1
    • 1
    • 1
    • 1
    • 1
    • 1
    • 1
    • 1
    AA 346-375

    Cross-Reactivity (Details)

    Expected species reactivity: Mouse, Rat, Bovine, Pig, Chicken, Rabbit, Xenopus

    Purification

    Antigen affinity purified

    Immunogen

    A portion of amino acids 346-375 from human ACTA1 was used as the immunogen for this alpha Actin antibody.

    Isotype

    Ig Fraction
  • Application Notes

    The stated application concentrations are suggested starting amounts. Titration of the alpha Actin antibody may be required due to differences in protocols and secondary/substrate sensitivity.\. Western blot: 1:1000,IHC (Paraffin): 1:10-1:50,Immunofluorescence: 1:10-1:50,Flow Cytometry: 1:10-1:50

    Restrictions

    For Research Use only
  • Format

    Liquid

    Buffer

    In 1X PBS, pH 7.4, with 0.09 % sodium azide

    Preservative

    Sodium azide

    Precaution of Use

    This product contains Sodium azide: a POISONOUS AND HAZARDOUS SUBSTANCE which should be handled by trained staff only.

    Storage

    -20 °C

    Storage Comment

    Aliquot the alpha Actin antibody and store frozen at -20°C or colder. Avoid repeated freeze-thaw cycles.
  • Target

    Actin (ACTA1) (Actin, alpha 1, Skeletal Muscle (ACTA1))

    Alternative Name

    Actin (alpha)

    Background

    The product encoded by this gene belongs to the actin family of proteins, which are highly conserved proteins that play a role in cell motility, structure and integrity. Alpha, beta and gamma actin isoforms have been identified, with a-actins being a major constituent of the contractile apparatus, while beta and gamma actins are involved in the regulation of cell motility. This actin is an a-actin that is found in skeletal muscle. Mutations in this gene cause nemaline myopathy type 3, congenital myopathy with excess of thin myofilaments, congenital myopathy with cores, and congenital myopathy with fiber-type disproportion, diseases that lead to muscle fiber defects.

    UniProt

    P68133

    Pathways

    Caspase Cascade in Apoptosis, Myometrial Relaxation and Contraction, Skeletal Muscle Fiber Development
You are here:
Chat with us!