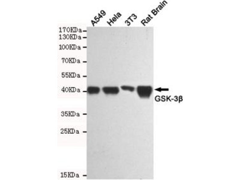
The Mouse Monoclonal anti-GSK3 beta antibody is suitable to detect GSK3 beta in samples from Human, Mouse and Rat. It has been validated for WB, IF, IP and ICC.
The stated application concentrations are suggested starting points. Titration of the GSK3B antibody may be required due to differences in protocols and secondary/substrate sensitivity.\. Western blot: 1:1000,ICC/IF: 1:200,Immunoprecipitation: suitable
Restrictions
For Research Use only
Buffer
Antibody in PBS with 50 % Glycerol and 0.03 % ProClin 300
Constitutively active protein kinase that acts as a negative regulator in the hormonal control of glucose homeostasis, Wnt signaling and regulation of transcription factors and microtubules, by phosphorylating and inactivating glycogen synthase (GYS1 or GYS2), EIF2B, CTNNB1/beta-catenin, APC, AXIN1, DPYSL2/CRMP2, JUN, NFATC1/NFATC, MAPT/TAU and MACF1. Requires primed phosphorylation of the majority of its substrates. In skeletal muscle, contributes to insulin regulation of glycogen synthesis by phosphorylating and inhibiting GYS1 activity and hence glycogen synthesis. May also mediate the development of insulin resistance by regulating activation of transcription factors. Regulates protein synthesis by controlling the activity of initiation factor 2B (EIF2BE/EIF2B5) in the same manner as glycogen synthase. In Wnt signaling, GSK3B forms a multimeric complex with APC, AXIN1 and CTNNB1/beta-catenin and phosphorylates the N-terminus of CTNNB1 leading to its degradation mediated by ubiquitin/proteasomes. [UniProt]