KO Validated
G3BP1
Reactivity: Human
WB, FACS
Host: Rabbit
Monoclonal
25GB3530
unconjugated
Recombinant Antibody
Application Notes
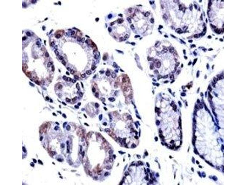
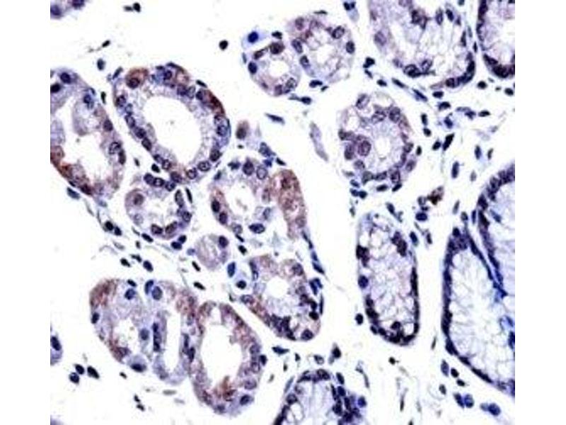
Titration of the G3BP1 antibody may be required due to differences in protocols and secondary/substrate sensitivity.\. Western blot: 1:1000,IHC (Paraffin): 1:10-1:50
Restrictions
For Research Use only
Format
Liquid
Buffer
In 1X PBS, pH 7.4, with 0.09 % sodium azide
Preservative
Sodium azide
Precaution of Use
This product contains Sodium azide: a POISONOUS AND HAZARDOUS SUBSTANCE which should be handled by trained staff only.
Storage
-20 °C
Storage Comment
Aliquot the G3BP1 antibody and store frozen at -20°C or colder. Avoid repeated freeze-thaw cycles.
Target
G3BP1
(GTPase Activating Protein (SH3 Domain) Binding Protein 1 (G3BP1))
Alternative Name
G3BP1
Background
This gene encodes one of the DNA-unwinding enzymes which prefers partially unwound 3'-tailed substrates and can also unwind partial RNA/DNA and RNA/RNA duplexes in an ATP-dependent fashion. This enzyme is a member of the heterogeneous nuclear RNA-binding proteins and is also an element of the Ras signal transduction pathway. It binds specifically to the Ras-GTPase-activating protein by associating with its SH3 domain. Several alternatively spliced transcript variants of this gene have been described, but the full-length nature of some of these variants has not been determined.