Phone:
+1 877 302 8632
Fax:
+1 888 205 9894 (Toll-free)
E-Mail:
orders@antibodies-online.com

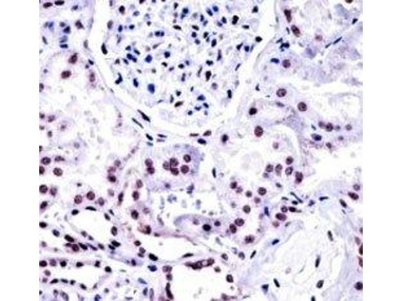
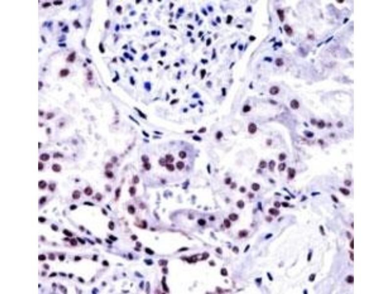
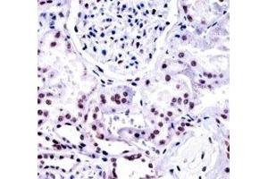
NONO antibody (AA 45-74)

The Rabbit Polyclonal anti-NONO antibody (ABIN3032025) specifically detects NONO in WB, IHC and ELISA. The antibody is reactive with Human samples.
Catalog No. ABIN3032025
$612.54
Plus shipping costs $50.00
Shipping to: United States
Delivery in 2 to 4 Business Days

Quick Overview for NONO antibody (AA 45-74) (ABIN3032025)

Target

See all NONO Antibodies
NONO (Non-POU Domain Containing, Octamer-Binding (NONO))

Reactivity

  • 87
  • 47
  • 43
  • 15
  • 12
  • 6
  • 5
  • 5
  • 5
  • 3
  • 3
  • 1
Human

Host

  • 81
  • 4
  • 2
  • 1
Rabbit

Clonality

  • 61
  • 27
Polyclonal

Conjugate

  • 44
  • 6
  • 3
  • 3
  • 3
  • 3
  • 3
  • 3
  • 3
  • 2
  • 1
  • 1
  • 1
  • 1
  • 1
  • 1
  • 1
  • 1
  • 1
  • 1
  • 1
  • 1
  • 1
  • 1
  • 1
This NONO antibody is un-conjugated

Application

  • 68
  • 42
  • 27
  • 22
  • 17
  • 14
  • 14
  • 13
  • 10
  • 6
  • 3
  • 2
  • 1
  • 1
Western Blotting (WB), Immunohistochemistry (IHC), ELISA
  • Binding Specificity

    • 15
    • 8
    • 7
    • 6
    • 4
    • 3
    • 2
    • 2
    • 2
    • 2
    • 1
    • 1
    • 1
    • 1
    • 1
    • 1
    AA 45-74

    Cross-Reactivity (Details)

    Expected species reactivity: Mouse, Rat

    Purification

    Antigen affinity purified

    Immunogen

    A portion of amino acids 45-74 from the human protein was used as the immunogen for this NONO antibody.

    Isotype

    Ig Fraction
  • Application Notes

    Titration of the NONO antibody may be required due to differences in protocols and secondary/substrate sensitivity.\. Western blot: 1:1000,IHC (Paraffin): 1:10-1:50

    Restrictions

    For Research Use only
  • Format

    Liquid

    Buffer

    In 1X PBS, pH 7.4, with 0.09 % sodium azide

    Preservative

    Sodium azide

    Precaution of Use

    This product contains Sodium azide: a POISONOUS AND HAZARDOUS SUBSTANCE which should be handled by trained staff only.

    Storage

    -20 °C

    Storage Comment

    Aliquot the NONO antibody and store frozen at -20°C or colder. Avoid repeated freeze-thaw cycles.
  • Target

    NONO (Non-POU Domain Containing, Octamer-Binding (NONO))

    Alternative Name

    NONO

    Background

    This gene encodes 'Non POU domain containing octamer binding protein', or NONO, an RNA-binding protein which plays various roles in the nucleus, including transcriptional regulation and RNA splicing. A rearrangement between this gene and the transcription factor E3 gene has been observed in papillary renal cell carcinoma. Alternatively spliced transcript variants have been described. Pseudogenes exist on Chromosomes 2 and 16. [provided by RefSeq].

    UniProt

    Q15233
You are here:
Chat with us!