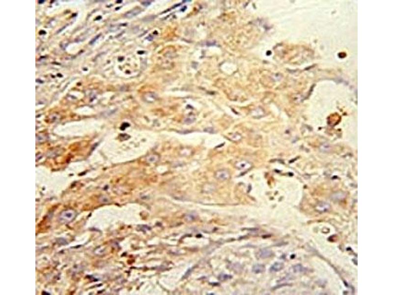
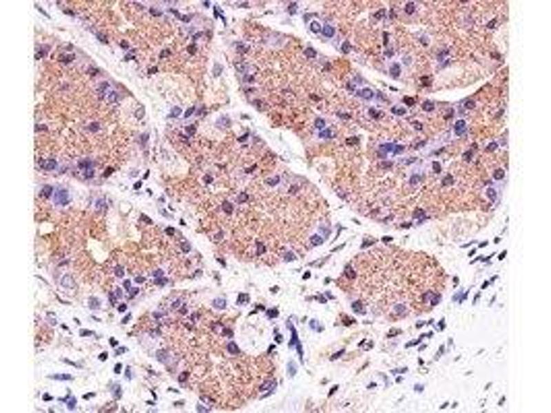
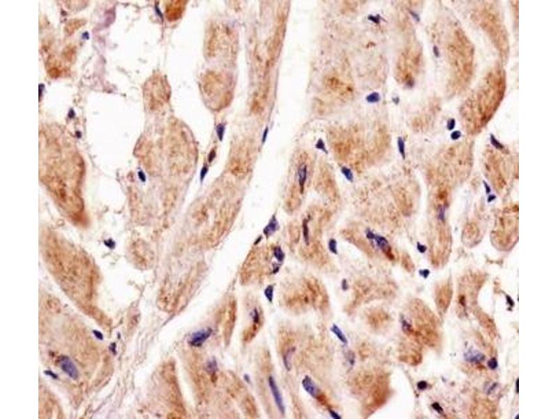
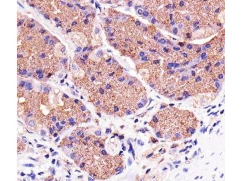
The Mouse Monoclonal anti-PINK1 antibody (Clone 38CT18-2-6) (ABIN3028956) specifically detects PINK1 in WB, IHC and IF.
The antibody is reactive with Human, Mouse and Rat samples.
Titration of the PINK1 antibody may be required due to differences in protocols and secondary/substrate sensitivity.\. IHC (Paraffin): 1:25-100,Immunofluorescence: 1:25,Western blot: 1:100-2000
Restrictions
For Research Use only
Format
Liquid
Buffer
In 1X PBS, pH 7.4, with 0.09 % sodium azide
Preservative
Sodium azide
Precaution of Use
This product contains Sodium azide: a POISONOUS AND HAZARDOUS SUBSTANCE which should be handled by trained staff only.
Storage
-20 °C
Storage Comment
Aliquot the PINK1 antibody and store frozen at -20°C or colder. Avoid repeated freeze-thaw cycles.
Target
PINK1
(PTEN Induced Putative Kinase 1 (PINK1))
Alternative Name
PINK1
Background
This gene encodes a serine/threonine protein kinase that localizes to mitochondria. It is thought to protect cells from stress-induced mitochondrial dysfunction. Mutations in this gene cause one form of autosomal recessive early-onset Parkinson disease.