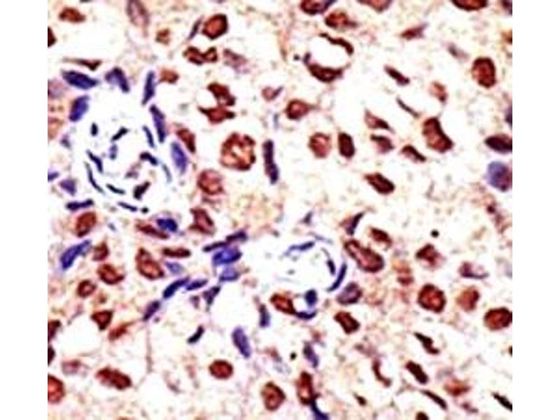
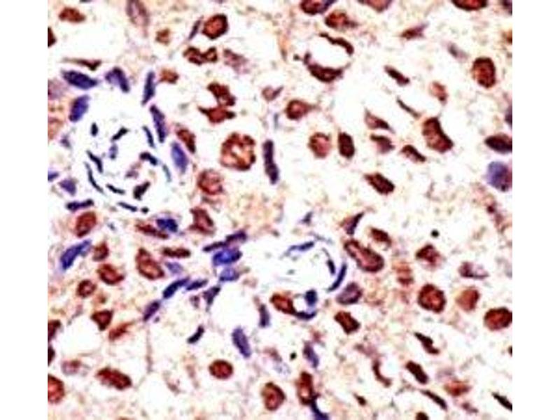
PRMT2
Reactivity: Human
WB, ELISA
Host: Rabbit
Polyclonal
unconjugated
Application Notes
Titration of the PRMT2 antibody may be required due to differences in protocols and secondary/substrate sensitivity.\. IHC (Paraffin): 1:50-1:100,Western blot: 1:1000
Restrictions
For Research Use only
Format
Liquid
Buffer
In 1X PBS, pH 7.4, with 0.09 % sodium azide
Preservative
Sodium azide
Precaution of Use
This product contains Sodium azide: a POISONOUS AND HAZARDOUS SUBSTANCE which should be handled by trained staff only.
Storage
-20 °C
Storage Comment
Aliquot the PRMT2 antibody and store frozen at -20°C or colder. Avoid repeated freeze-thaw cycles.
Arginine methylation is an irreversible post translational modification which has only recently been linked to protein activity. At least three types of PRMT enzymes have been identified in mammalian cells. These enzymes have been shown to have essential regulatory functions by methylation of key proteins in several fundamental areas. These protein include nuclear proteins, IL enhancer binding factor, nuclear factors, cell cycle proteins, signal transduction proteins, apoptosis proteins, and viral proteins. The mammalian PRMT family currently consists of 7 members that share two large domains of homology. Outside of these domains, epitopes were identified and antibodies against all 7 PRMT members have been developed.