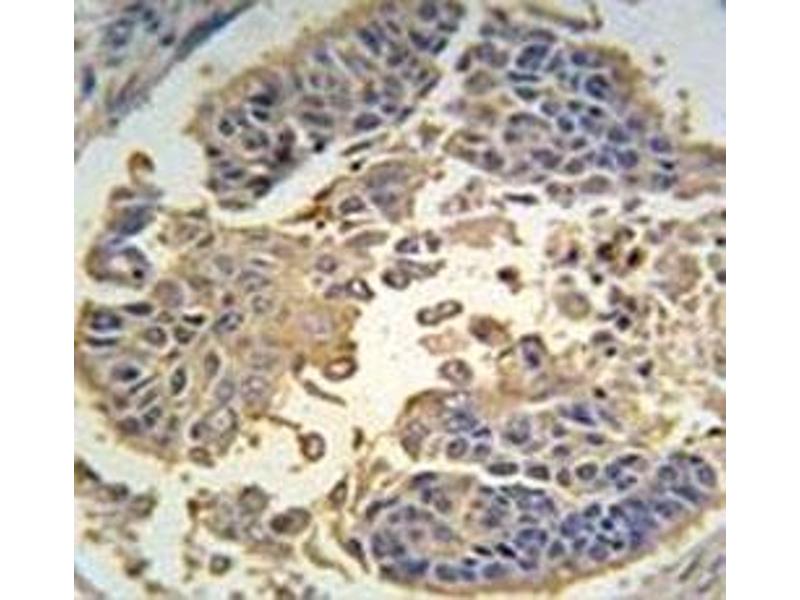
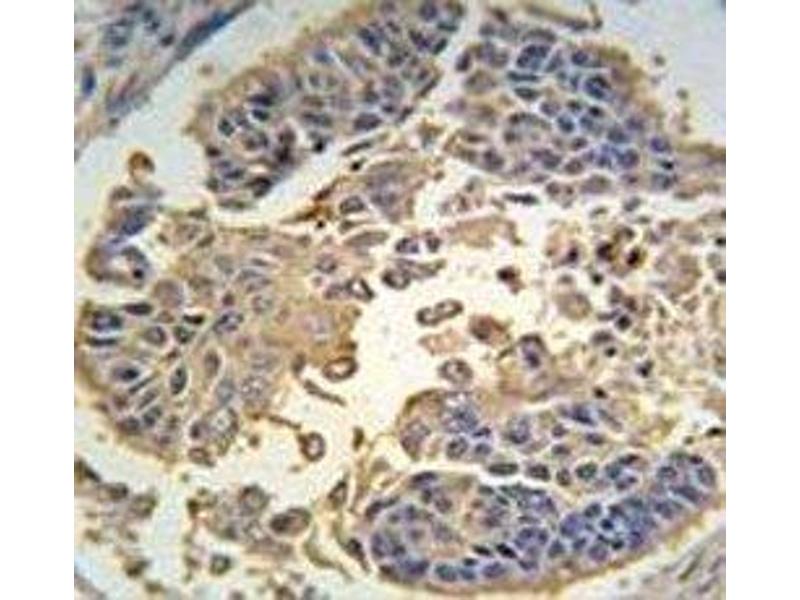
RIPK3
Reactivity: Human
IHC, ELISA
Host: Rabbit
Polyclonal
unconjugated
Application Notes
Titration of the RIPK3 antibody may be required due to differences in protocols and secondary/substrate sensitivity.\. Western blot: 1:1000,IHC (Paraffin): 1:50-1:100
Restrictions
For Research Use only
Format
Liquid
Buffer
In 1X PBS, pH 7.4, with 0.09 % sodium azide
Preservative
Sodium azide
Precaution of Use
This product contains Sodium azide: a POISONOUS AND HAZARDOUS SUBSTANCE which should be handled by trained staff only.
Storage
-20 °C
Storage Comment
Aliquot the RIPK3 antibody and store frozen at -20°C or colder. Avoid repeated freeze-thaw cycles.
RIPK3 is a member of the receptor-interacting protein (RIP) family of serine/threonine protein kinases, and contains a C-terminal domain unique from other RIP family members. The encoded protein is predominantly localized to the cytoplasm, and can undergo nucleocytoplasmic shuttling dependent on novel nuclear localization and export signals. It is a component of the tumor necrosis factor (TNF) receptor-I signaling complex, and can induce apoptosis and weakly activate the NF-kappaB transcription factor.