Phone:
+1 877 302 8632
Fax:
+1 888 205 9894 (Toll-free)
E-Mail:
orders@antibodies-online.com

RPS6 antibody

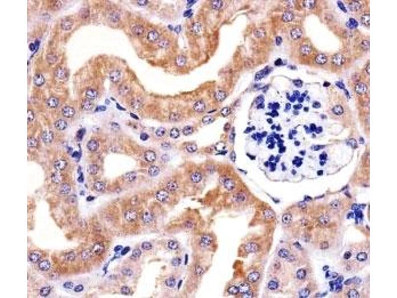
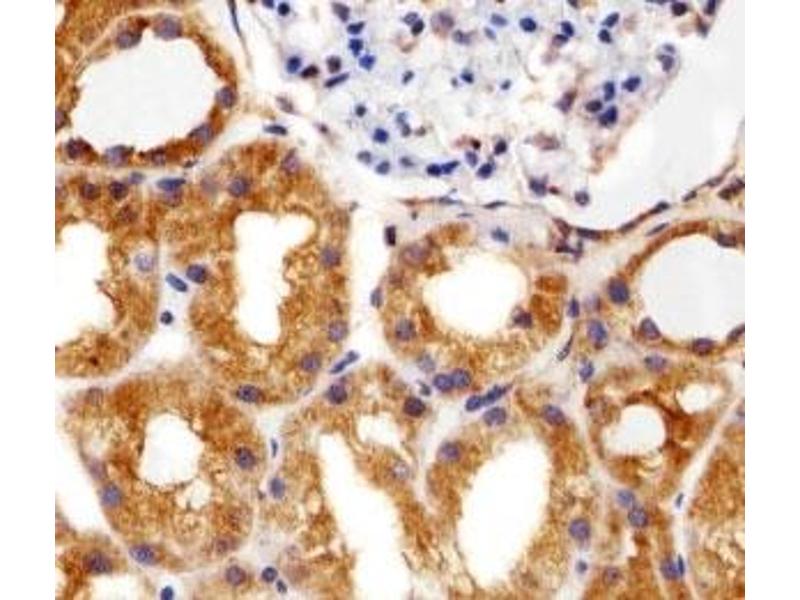
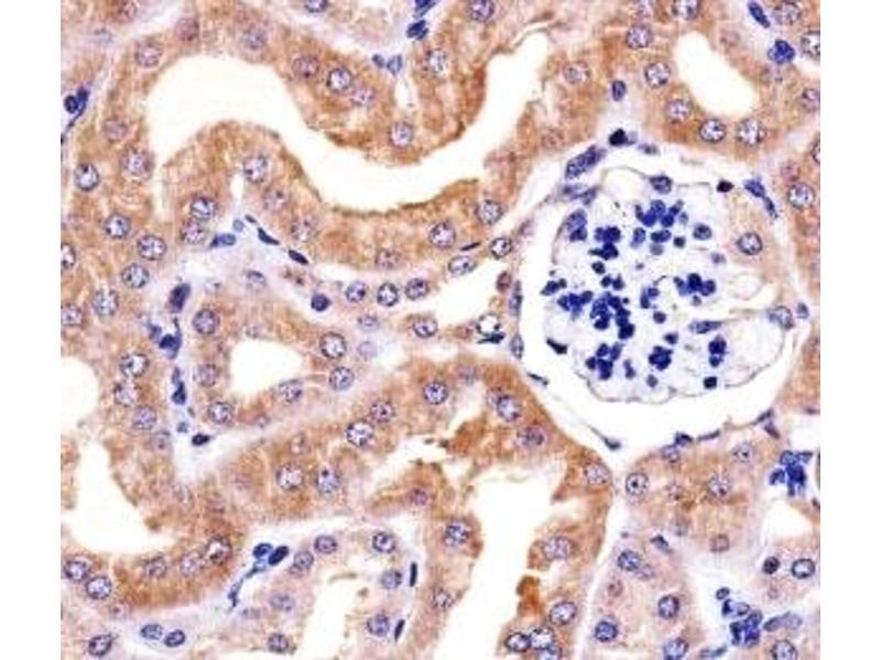
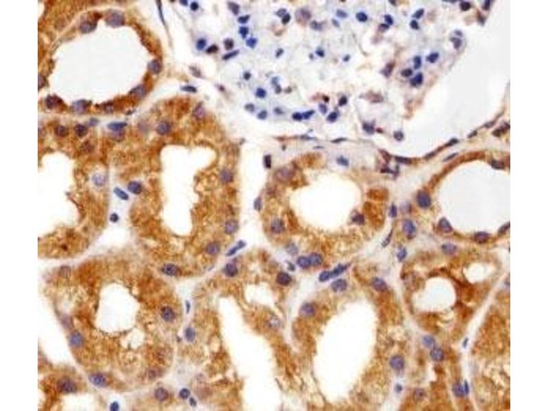
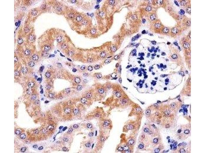
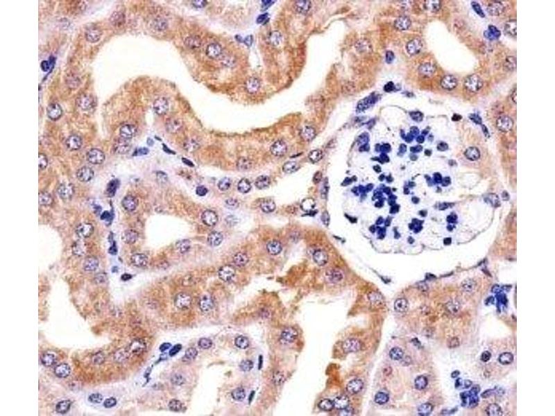
The Mouse Monoclonal anti-RPS6 antibody (Clone 981CT2-1-1) (ABIN3028983) specifically detects RPS6 in WB, ELISA, IHC, IF and FACS. The antibody is reactive with Human and Rat samples.
Catalog No. ABIN3028983
$612.54
Plus shipping costs $50.00
Shipping to: United States
Delivery in 2 to 4 Business Days

Quick Overview for RPS6 antibody (ABIN3028983)

Target

See all RPS6 Antibodies
RPS6 (Ribosomal Protein S6 (RPS6))

Reactivity

  • 144
  • 133
  • 120
  • 12
  • 12
  • 11
  • 10
  • 10
  • 8
  • 8
  • 7
  • 7
  • 5
  • 5
  • 5
  • 4
  • 2
  • 2
  • 2
  • 1
Human, Rat

Host

  • 162
  • 11
  • 2
  • 2
Mouse

Clonality

  • 144
  • 33
Monoclonal

Conjugate

  • 83
  • 11
  • 8
  • 6
  • 5
  • 5
  • 4
  • 4
  • 4
  • 4
  • 3
  • 3
  • 3
  • 3
  • 3
  • 3
  • 3
  • 3
  • 3
  • 3
  • 3
  • 3
  • 3
  • 2
  • 2
This RPS6 antibody is un-conjugated

Application

  • 153
  • 57
  • 56
  • 44
  • 40
  • 40
  • 28
  • 27
  • 21
  • 17
  • 11
  • 3
  • 2
  • 1
  • 1
  • 1
  • 1
Western Blotting (WB), ELISA, Immunohistochemistry (IHC), Immunofluorescence (IF), Flow Cytometry (FACS)

Clone

981CT2-1-1
You are here:
Chat with us!