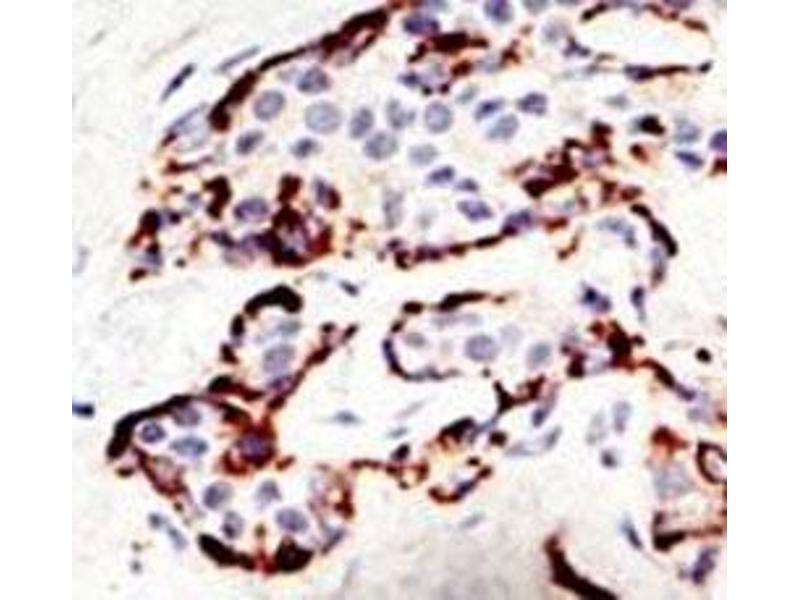
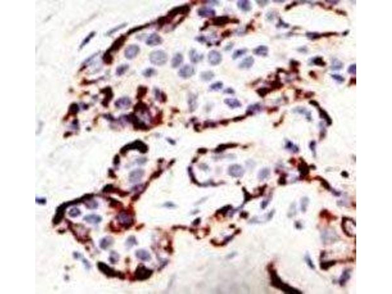
The Rabbit Polyclonal anti-SUV39H2 antibody (ABIN3029055) specifically detects SUV39H2 in WB, ELISA and IHC.
The antibody is reactive with Human and Mouse samples.
Titration of the SUV39H2 antibody may be required due to differences in protocols and secondary/substrate sensitivity.\. Western blot: 1:1000,IHC (Paraffin): 1:50-1:100
Restrictions
For Research Use only
Format
Liquid
Buffer
In 1X PBS, pH 7.4, with 0.09 % sodium azide
Preservative
Sodium azide
Precaution of Use
This product contains Sodium azide: a POISONOUS AND HAZARDOUS SUBSTANCE which should be handled by trained staff only.
Storage
-20 °C
Storage Comment
Aliquot the SUV39H2 antibody and store frozen at -20°C or colder. Avoid repeated freeze-thaw cycles.
Target
SUV39H2
(Suppressor of Variegation 3-9 Homolog 2 (Drosophila) (SUV39H2))
Alternative Name
SUV39H2 (KMT1B)
Background
The murine gene Suv39h2/kmt1b encodes an H3 histone methyltransferase (HMTase) 59 % identical in sequence to mouse Suv39h1. During embryogenesis, both proteins overlap in tissue expression, yet Suv39h2 transcripts are restricted to the testes in adult animals. Immunolocalization of the Suv39h2 protein during spermatogenesis indicates enrichment at the heterochromatin from the leptotene to the round spermatid stage. Moreover, Suv39h2 specifically accumulates with chromatin of the sex chromosomes, which undergo transcriptional silencing during the first meiotic prophase. Suv39h2 HMTase may also organize meiotic heterochromatin with the potential for epigenetic imprint to the male germline.